УЗИ СЕРДЦА. ПОМОГИТЕ РАЗОБРАТЬСЯ!
Модератор: dok333
УЗИ СЕРДЦА. ПОМОГИТЕ РАЗОБРАТЬСЯ!
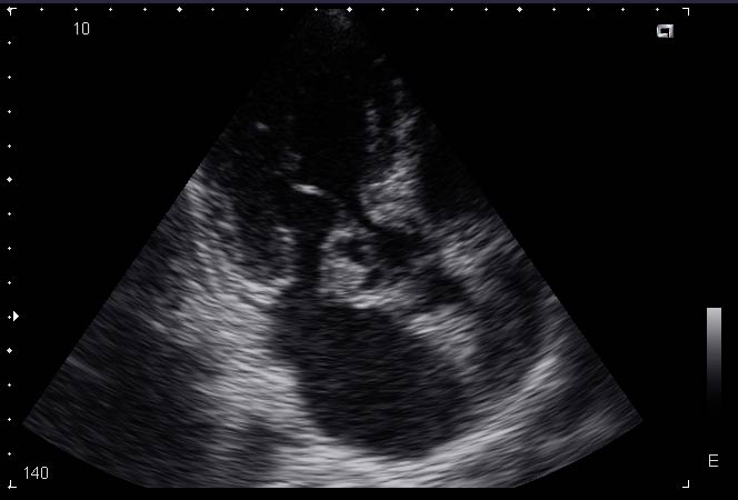
ПРИ ПЛАНОВОМ ОБСЛЕДОВАНИИ ПОСЛЕ ПЕРЕНЕСЕННОГО МЕЛКООЧАГОВОГО ИНФАРКТА МИОКАРДА ПОЛУЧИЛАСЬ ТАКАЯ КАРТИНКА. КАК ДУМАЕТЕ, ЧТО ЭТО МОЖЕТ БЫТЬ. И ТАКТИКА.
КЛИНИЧЕСКАЯ КАРТИНА СЛЕДУЮЩАЯ: ЛИХОРАДКА В ТЕЧЕНИЕ 4Х МЕСЯЦЕВ, ЛЕЧИЛАСЬ В ИНФЕКЦИОННОЙ БОЛЬНИЦЕ С ДИАГНОЗОМ ЛИХОРАДКА НЕЯСНОГО ГЕНЕЗА, АНЕМИЯ СРЕДНЕЙ СТЕПЕНИ, АСТЕНИЗАЦИЯ.
КЛИНИЧЕСКАЯ КАРТИНА СЛЕДУЮЩАЯ: ЛИХОРАДКА В ТЕЧЕНИЕ 4Х МЕСЯЦЕВ, ЛЕЧИЛАСЬ В ИНФЕКЦИОННОЙ БОЛЬНИЦЕ С ДИАГНОЗОМ ЛИХОРАДКА НЕЯСНОГО ГЕНЕЗА, АНЕМИЯ СРЕДНЕЙ СТЕПЕНИ, АСТЕНИЗАЦИЯ.
- KsV
- Администратор
- Сообщения: 2191
- Зарегистрирован: 22 фев 2009, 13:38
- Откуда: Беларусь-Lietuva
- Контактная информация:
Re: УЗИ СЕРДЦА. ПОМОГИТЕ РАЗОБРАТЬСЯ!
Наиболее вероятен бактериальный септический эндокардит с поражением ПС МК, абсцесс створки?
Re: УЗИ СЕРДЦА. ПОМОГИТЕ РАЗОБРАТЬСЯ!
то есть в течение 4х месяцев формировался абсцесс? Может быть клиническая картина, как проявление паранеопластического процесса? Какие признаки больше говорят об абсцессе. Женщина продолжает пока лечится у нас в стационаре.
данные измерений:МЖП-11/15, ЗСЛЖ11/16, КДР49, КСР32, КДО113, КСО41, ФВ63, УО72
, кроме того на МК регургитация II, очень мозаичный поток в обе стороны, на ТК II.
данные измерений:МЖП-11/15, ЗСЛЖ11/16, КДР49, КСР32, КДО113, КСО41, ФВ63, УО72
, кроме того на МК регургитация II, очень мозаичный поток в обе стороны, на ТК II.
Re: УЗИ СЕРДЦА. ПОМОГИТЕ РАЗОБРАТЬСЯ!
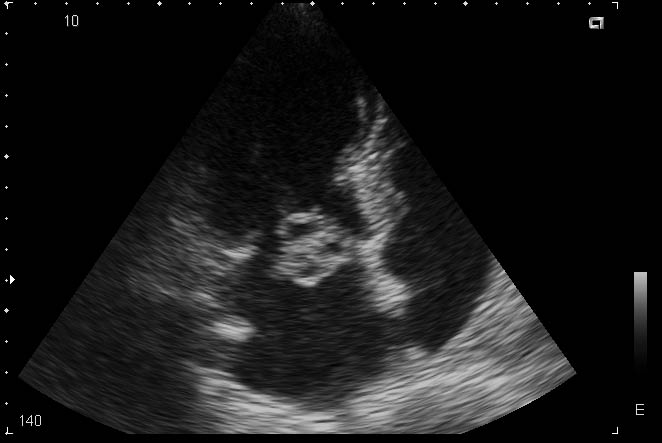
добавлю небольшой ролик
- Вложения
-
- 04_06_2009_15_27_27_6.4.2009.15.54.6_12.rar
- (1.18 МБ) 260 скачиваний
- KsV
- Администратор
- Сообщения: 2191
- Зарегистрирован: 22 фев 2009, 13:38
- Откуда: Беларусь-Lietuva
- Контактная информация:
Re: УЗИ СЕРДЦА. ПОМОГИТЕ РАЗОБРАТЬСЯ!
За БСЭ есть подходящая клиника + поражение клапана. Что можно предъявить в пользу паранеопластического синдрома?
Re: УЗИ СЕРДЦА. ПОМОГИТЕ РАЗОБРАТЬСЯ!
дело в том, что клапан как-бы и не изменён, может не очень хорошо видно на картинках и ролике, а это образование крепится у основания створки. Просто ни с чем подобным раньше сталкиваться не приходилось, да и в литературе подобных картинок нет. Как вариант, абсцесс тоже рассматривается. Диагноза точного пока нет. Вероятно больную направят в РНПЦ Кардиологии, результат обязательно сообщу. 
- KsV
- Администратор
- Сообщения: 2191
- Зарегистрирован: 22 фев 2009, 13:38
- Откуда: Беларусь-Lietuva
- Контактная информация:
Re: УЗИ СЕРДЦА. ПОМОГИТЕ РАЗОБРАТЬСЯ!
Будем с нетерпением ждать результата!
Re: УЗИ СЕРДЦА. ПОМОГИТЕ РАЗОБРАТЬСЯ!
Следует дифференцировать инфекционный эндокардит и опухоль сердца.
Для инфекционного эндокардита сроком давности 4 мес хотелось бы иметь большую степень поражения митрального клапана в виде его недостаточности (митральная регургитация, дилатация и объемная перегрузка левых отделов сердца).
Для опухоли, которая чаще всего представлена миксомой, не совсем типично место, из которого она исходит.
А клиника может быть сходной. Описан синдом отравления опухолью даже для миксом.
Для инфекционного эндокардита сроком давности 4 мес хотелось бы иметь большую степень поражения митрального клапана в виде его недостаточности (митральная регургитация, дилатация и объемная перегрузка левых отделов сердца).
Для опухоли, которая чаще всего представлена миксомой, не совсем типично место, из которого она исходит.
А клиника может быть сходной. Описан синдом отравления опухолью даже для миксом.
Re: УЗИ СЕРДЦА. ПОМОГИТЕ РАЗОБРАТЬСЯ!
Больше данных в пользу инфекционного эндокардита с абсцессом передней створки митрального клапана. Учитывая анамнез можно предположить, что больной проводилась антибиотикотерапия, поэтому процесс на створке не привел к выраженной митральной недостаточности. В данном случае, мне кажется, необходим динамический ЭхоКГ-контроль на фоне лечения антибиотиками (с учетом диагноза ИЭ).
- KsV
- Администратор
- Сообщения: 2191
- Зарегистрирован: 22 фев 2009, 13:38
- Откуда: Беларусь-Lietuva
- Контактная информация:
Re: УЗИ СЕРДЦА. ПОМОГИТЕ РАЗОБРАТЬСЯ!
Пора бы повести черту. Ждем ответа топикстартера - что это было.
Кто сейчас на конференции
Сейчас этот форум просматривают: нет зарегистрированных пользователей и 1 гость