Газ в портальной системе?

Печень, желчный пузырь, поджелудочная железа, селезенка. Кишечник.
Изображения для консультации
Аватара пользователя
valeriy.andilevko
Сообщения: 194
Зарегистрирован: 01 мар 2011, 19:34
Откуда: Витебск
Контактная информация:

Газ в портальной системе?

Сообщение valeriy.andilevko »

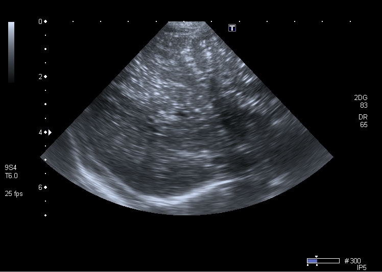
Хочу продолжить дискуссию, повод для этого - сегодняшний пациент 1 года 4 месяцев с клиникой кишечной инфекции и подозрением на инвагинацию. Инвагината не нашёл, но зато при УЗИ выявлены следующие изменения в печени
I20110401154723734.jpg
I20110401154723734.jpg (46.06 КБ) 3289 просмотров
Кроме того был выражен феномен спонтанного контрастирования кровотока в портальной системе (пузырьки газа?). На рентгенограмме - единичные горизонтальные уровни в тонкой кишке, интерстициального пневматоза стенки газа в проекции портальной системы нет.
Хотелось бы узнать мнение общества о природе данного феномена.
Аватара пользователя
KsV
Администратор
Сообщения: 2191
Зарегистрирован: 22 фев 2009, 13:38
Откуда: Беларусь-Lietuva
Контактная информация:

Re: Внутрипротоковые гамартомы

Сообщение KsV »

Крайне желателен в таких случаях видеоролик.

У взрослых газ в портальной системе чаще всего появляется вследствие некроза кишки (72%), язвенного колита (8%), абсцесса БП (6%),обструкции тонкой кишки (3%), язвы желудка (3%).

Плохой прогностический признак.


Hepatic--portal venous gas in adults: etiology, pathophysiology and clinical significance.
P R Liebman, M T Patten, J Manny, J R Benfield, and H B Hechtman
This article has been cited by other articles in PMC.
Abstract
The roentgenographic finding hepatic--portal venous gas (HPVG) has been reported extensively in the pediatric and radiology literature. The surgical implications and clinical significance have yet to be fully defined. This study reviews the 60 reported cases in the literature and adds four new cases. HPVG appears as a branching radiolucency extending to within 2 cm of the liver capsule. HPVG is associated with necrotic bowel (72%), ulcerative colitis (8%), intra abdominal abscess (6%), small bowel obstruction (3%), and gastric ulcer (3%). Mucosal damage, bowel distention and sepsis predispose to HPVG. The current mortality rate of 75% represents an improvement from previous experience. Analysis of survivors indicates that the finding of HPVG requires urgent surgical exploration except when it is observed in patients with stable ulcerative colitis.
Аватара пользователя
valeriy.andilevko
Сообщения: 194
Зарегистрирован: 01 мар 2011, 19:34
Откуда: Витебск
Контактная информация:

Re: Газ в портальной системе?

Сообщение valeriy.andilevko »

Лично наблюдал газ в портальной системе у новорожденных детей с некротическим энтероколитом, они действительно лечились в отелении реанимации и находились в крайне тяжёлом состоянии. Данный ребёнок не производил впечатление умирающего и чувствовал себя отностиельно неплохо. В общем анализе крови - небольшой сдвиг влево и всё. Петли тонкой кишки при УЗИ незначительно расширены, с внутрипросветным депонированием жидкого содержимого, перистальтика усилена, газы отходят. Свободная жидкость в брюшной полости на момент исследования в брюшной полости в небольшом количестве
I20110401154724312.jpg
I20110401154724312.jpg (42.89 КБ) 3282 просмотра
У ребёнка в анамнезе запоры.В последние дни ребёнка интенсивно клизмили. Был зловонный пенистый стул, метеоризм. Но впечатления о том, что у него разваливается стенка кишки или кишка настолько раздулась, что возник интестициальный пневматоз нет. Есть ли другие варианты эхогенных включений в портальной системе?
К сожалению , пока не могу писать ролики (какой-то глюк в аппарате) :(
Аватара пользователя
valeriy.andilevko
Сообщения: 194
Зарегистрирован: 01 мар 2011, 19:34
Откуда: Витебск
Контактная информация:

Re: Газ в портальной системе?

Сообщение valeriy.andilevko »

В течение этих выходных ребёнка перевели в инфекционную больницу с диагнозом "ротавирусная инфекция". На сколько знаю, контрольное ультразвуковое исследование там пока не проводилось.
Аватара пользователя
KsV
Администратор
Сообщения: 2191
Зарегистрирован: 22 фев 2009, 13:38
Откуда: Беларусь-Lietuva
Контактная информация:

Re: Газ в портальной системе?

Сообщение KsV »

Ясно, спасибо за инфрмацию.
Аватара пользователя
valeriy.andilevko
Сообщения: 194
Зарегистрирован: 01 мар 2011, 19:34
Откуда: Витебск
Контактная информация:

Re: Газ в портальной системе?

Сообщение valeriy.andilevko »

В продолжение темы - сходный случай. Ребёнок 5 мес, поступил с признаками энтеральной недостаточности и вздутым животом.
На рентгенограмме - множественные горизонтальные уровни в просвете кишки, контрастирования газа в проекции печени нет
Рентген ОБП.jpg
Рентген ОБП.jpg (15.13 КБ) 2809 просмотров
(к слову - иллюстрация того, что горизонтальные уровни в кишечнике не обязательно признак кишечной непроходимости, стул у ребёнка кашицеобразный за последние 12 часов - 4 раза)
На УЗИ - множественные гиперэхогенные включения в печени.
I20110929155902703.jpg
I20110929155902703.jpg (16.14 КБ) 2809 просмотров
Через 2 дня живот опал, на УЗИ - нормальная печень. Признаков некроза кишечника не было.
Рискну высказать предположение о возможности проникновения газа в портальную систему через неповреждённую, но восппалённую стенку кишки на фоне избыточного давления в её просвете .
Аватара пользователя
KsV
Администратор
Сообщения: 2191
Зарегистрирован: 22 фев 2009, 13:38
Откуда: Беларусь-Lietuva
Контактная информация:

Re: Газ в портальной системе?

Сообщение KsV »

Интересно.
В нашей практике ни разу не видел подобного, хотя знаю про возможность обнаружения газа в портальной системе при некрозах кишечника.

PS Желательно постить сонограммы бОльших размеров, не менее 20 см по длине.
Аватара пользователя
valeriy.andilevko
Сообщения: 194
Зарегистрирован: 01 мар 2011, 19:34
Откуда: Витебск
Контактная информация:

Re: Газ в портальной системе?

Сообщение valeriy.andilevko »

Учту замечание, хотя у маленьких детей при передне - заднем размере печени около 6 см это бывает проблематично ;)
Аватара пользователя
KsV
Администратор
Сообщения: 2191
Зарегистрирован: 22 фев 2009, 13:38
Откуда: Беларусь-Lietuva
Контактная информация:

Re: Газ в портальной системе?

Сообщение KsV »

valeriy.andilevko писал(а):Учту замечание, хотя у маленьких детей при передне - заднем размере печени около 6 см это бывает проблематично ;)
В.М., я про сами сонограммы, их невозможно увеличить по клику.
Аватара пользователя
valeriy.andilevko
Сообщения: 194
Зарегистрирован: 01 мар 2011, 19:34
Откуда: Витебск
Контактная информация:

Re: Газ в портальной системе?

Сообщение valeriy.andilevko »

Определил прблему, данное свойство сонограммы приобретают после сжатия в Microsoft Picture Manager по умолчанию для веб страниц
I20110929155902703.jpg
Так лучше? :)
Ответить

Вернуться в «Абдоминальные исследования»

Кто сейчас на конференции

Сейчас этот форум просматривают: нет зарегистрированных пользователей и 0 гостей