Женщина 62 лет.
Наблюдалась и лечилась в Минске, заключение подтверждено ангиографией там же.
Выписана под амбулаторное наблюдение и ленение по месту жительства, рекомендовано УЗИ в динамике.
Видеоролик - http://youtu.be/fuuof8zQcFQ
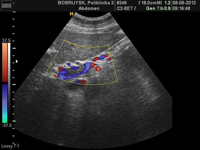
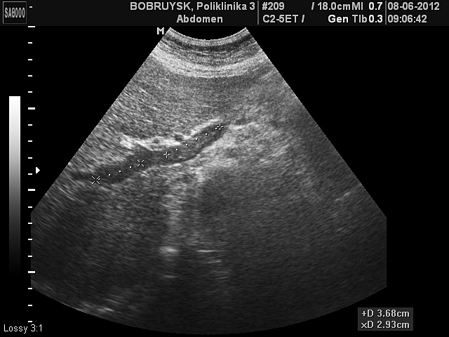
Неполный тромбоз воротной вены и ее ветвей
Неполный тромбоз воротной вены и ее ветвей
http://endosono.ru
*****************************************
Странный этот мир, в котором двое смотрят на одно и тоже, а видят разное.
Агата Кристи.
*****************************************
Странный этот мир, в котором двое смотрят на одно и тоже, а видят разное.
Агата Кристи.
- KsV
- Администратор
- Сообщения: 2191
- Зарегистрирован: 22 фев 2009, 13:38
- Откуда: Беларусь-Lietuva
- Контактная информация:
Re: Неполный тромбоз воротной вены и ее ветвей
Очень гут, доказательно.
Интересна причина конкретно этого тромбоза.
У нас в хирургической клинике пилетромбоз чаще всего случается на фоне панкреатитов. Особенностью этих тромбозов является их слабая регрессия; чаще всего они не реканализируются, а кровоток частично восстанавливается через венозные коллатерали.
Интересна причина конкретно этого тромбоза.
У нас в хирургической клинике пилетромбоз чаще всего случается на фоне панкреатитов. Особенностью этих тромбозов является их слабая регрессия; чаще всего они не реканализируются, а кровоток частично восстанавливается через венозные коллатерали.
Re: Неполный тромбоз воротной вены и ее ветвей
Причин данного тромбоза не знаю, т.к пациентка пришла только с предыдущим УЗИ и результатами ангиографии с Минска.
Ни карточки ни выписки на руках не было.
Сослов пациентки, проходит амбулаторное лечение тромболитиками, рекомендовано УЗИ в динамике, по месту жительства и консультации по графику в Минске.
Ни карточки ни выписки на руках не было.
Сослов пациентки, проходит амбулаторное лечение тромболитиками, рекомендовано УЗИ в динамике, по месту жительства и консультации по графику в Минске.
http://endosono.ru
*****************************************
Странный этот мир, в котором двое смотрят на одно и тоже, а видят разное.
Агата Кристи.
*****************************************
Странный этот мир, в котором двое смотрят на одно и тоже, а видят разное.
Агата Кристи.
Кто сейчас на конференции
Сейчас этот форум просматривают: нет зарегистрированных пользователей и 1 гость