Рентгенография ОГК. Женщина средних лет.

Изображения для консультации
Ответить
Рентгенолог
Сообщения: 4
Зарегистрирован: 19 мар 2009, 12:39
Контактная информация:

Re: Рентгенография ОГК. Женщина средних лет.

Сообщение Рентгенолог »

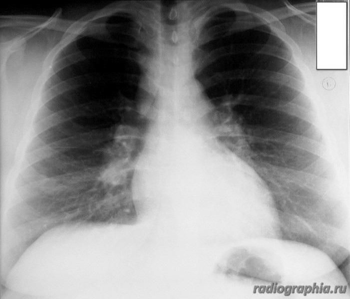
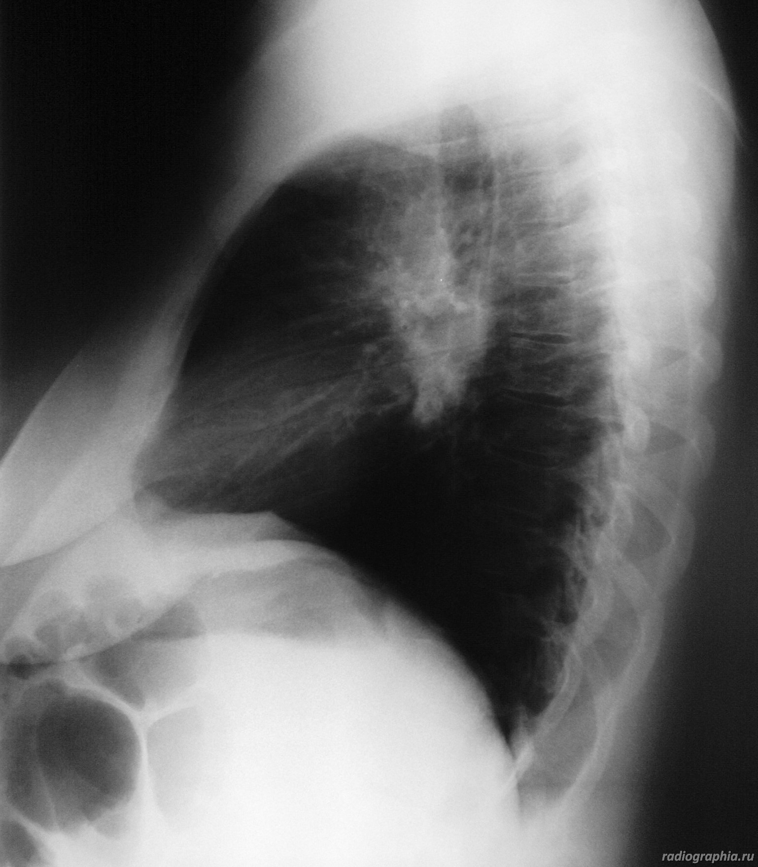
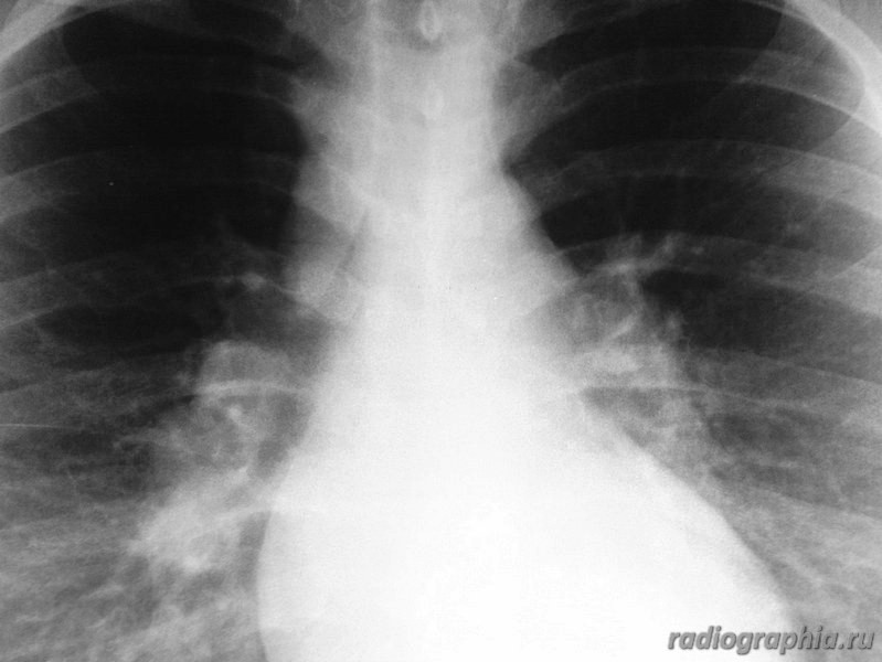
интересует предыдущая рентгенодокументация (если есть :lol: ), анамнез заболевания. На момент осмотра больше данных за расширение легочных артерий , возможно начальные рентгенпризнаки развивающегося идиопатического легочного фиброза.Саркоидоз со стопроцентной уверенностью тоже исключать не стала бы.
Аватара пользователя
Dr.Mario
Эксперт
Сообщения: 160
Зарегистрирован: 17 мар 2009, 07:36
Контактная информация:

Re: Рентгенография ОГК. Женщина средних лет.

Сообщение Dr.Mario »

Расширение верхнего средостения, широкие корни. У пациентки диагностирована лимфома. Была выполнена медиастиноскопия с забором лимфатических узлов на морфологию.
Let me see...
www.radiographia.ru
Ответить

Вернуться в «Легкие, грудная клетка»

Кто сейчас на конференции

Сейчас этот форум просматривают: нет зарегистрированных пользователей и 0 гостей