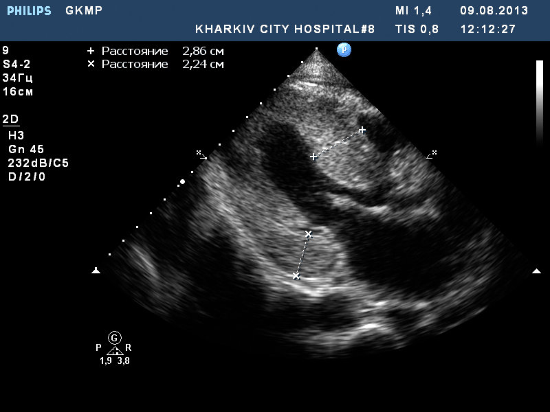
ГКМП. обструкции кровотока в выносящем тракте левого желудочка нет.
ГКМП
Модератор: dok333
Кто сейчас на конференции
Сейчас этот форум просматривают: нет зарегистрированных пользователей и 1 гость
Модератор: dok333
Сейчас этот форум просматривают: нет зарегистрированных пользователей и 1 гость