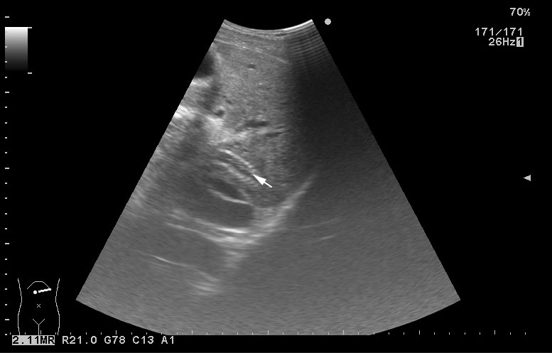
Молодой человек с циррозом печени и портальной гипертензией. Находился в стационаре в Испании, делалась какая-то манипуляция.
В печени обнаруживается какое-то инородное тело (стрелка)
Мнения?
TIPS, тромбоз: УЗИ
Re: УЗИ печени
холедох стентировали? 
Кто сейчас на конференции
Сейчас этот форум просматривают: нет зарегистрированных пользователей и 2 гостя