Пенетрирующая язва 12ПК, абдоминальное УЗИ

Печень, желчный пузырь, поджелудочная железа, селезенка. Кишечник.
Только верифицированые изображения
Ответить
Аватара пользователя
KsV
Администратор
Сообщения: 2191
Зарегистрирован: 22 фев 2009, 13:38
Откуда: Беларусь-Lietuva
Контактная информация:

Пенетрирующая язва 12ПК, абдоминальное УЗИ

Сообщение KsV »

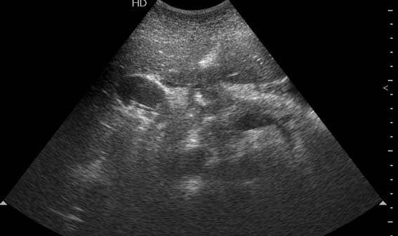
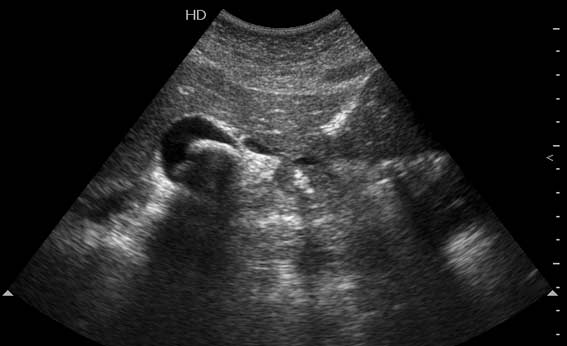
Мужчина 37 лет. Поступил в приемое отделение БСМП. Болен уже неделю, лечился в поликлинике. Сегодня боли усилились и стали нестерпимыми.
1.jpg
2.jpg
3.jpg
Ваше заключение? Тактика?
besliu
Сообщения: 142
Зарегистрирован: 11 окт 2009, 08:31
Контактная информация:

Re: Мужчина с болями в правом подреберье

Сообщение besliu »

1Я бы посмотрела соотношение большого камня к устью цистикуса(не объязателен блок,а боль может быть постоянной)) повернув пациента на левый бок.
2 Между ж.пузырем и головкой панкреас -полый орган с отечными стенками-12 п.к.?(может быть сочетание язв.б-ни и ж.кам.б-ни)Если камень не в устье,то показана ФГС
Аватара пользователя
KsV
Администратор
Сообщения: 2191
Зарегистрирован: 22 фев 2009, 13:38
Откуда: Беларусь-Lietuva
Контактная информация:

Re: Мужчина с болями в правом подреберье

Сообщение KsV »

besliu, Брависсимо!
Вы правильно разглядели пенетрирующую язву 12ПК. Перфорация прикрыта тканью печени, есть чуть-чуть свободной жидкости в ложе желчного пузыря. А ведь можно было "диагностировать" и острый холецистит!

В архив.
Ответить

Вернуться в «Абдоминальные исследования»

Кто сейчас на конференции

Сейчас этот форум просматривают: Bing [Bot] и 2 гостя