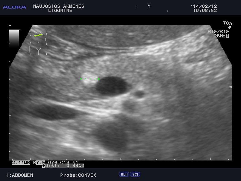
Очаг в панкреас

Печень, желчный пузырь, поджелудочная железа, селезенка. Кишечник.
Изображения для консультации
Ответить
Аватара пользователя
KsV
Администратор
Сообщения: 2191
Зарегистрирован: 22 фев 2009, 13:38
Откуда: Беларусь-Lietuva
Контактная информация:

Очаг в панкреас

Сообщение KsV »

Мужчина средних лет. Жалоб нет.
qqqq_20140212_ABDOMEN_0011.JPG
qqqq_20140212_ABDOMEN_0012.JPG
Рекомендовал КТ.
Ответить

Вернуться в «Абдоминальные исследования»

Кто сейчас на конференции

Сейчас этот форум просматривают: нет зарегистрированных пользователей и 0 гостей