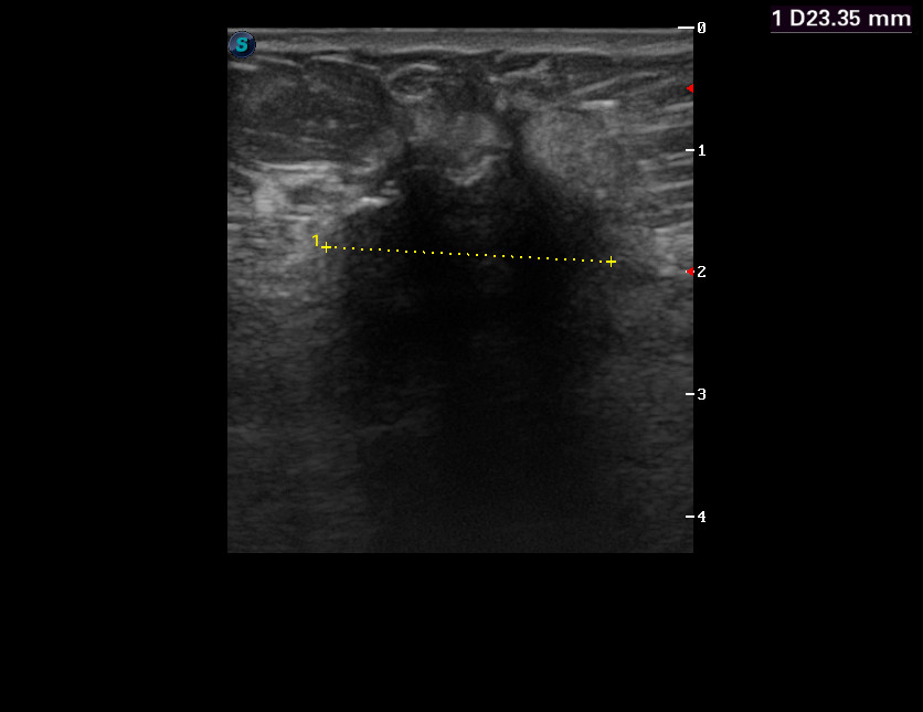
Бабушка 1936 г, правый сосок втянут
Похоже что есть?
УЗИ молочной железы
Re: УЗИ молочной железы
[quote="KsV"]Бабушка 1936 г, правый сосок втянут
Похоже что есть?
А что там в подмышечной впадине? Но очень похоже... и должно определяться пальпаторно,судя по размерам.
Похоже что есть?
А что там в подмышечной впадине? Но очень похоже... и должно определяться пальпаторно,судя по размерам.
- KsV
- Администратор
- Сообщения: 2191
- Зарегистрирован: 22 фев 2009, 13:38
- Откуда: Беларусь-Lietuva
- Контактная информация:
Re: УЗИ молочной железы
Да, пальпаторно есть.zubr писал(а):А что там в подмышечной впадине? Но очень похоже... и должно определяться пальпаторно,судя по размерам.
Бабушку отправили к онкологам.
Кто сейчас на конференции
Сейчас этот форум просматривают: нет зарегистрированных пользователей и 0 гостей