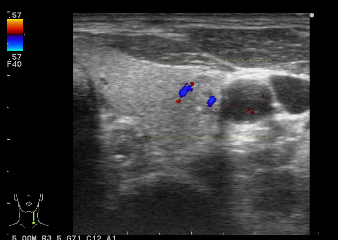
Папиллярная карцинома, УЗИ

Щитовидная железа, тимус.
Только верифицированые изображения
Ответить
Аватара пользователя
KsV
Администратор
Сообщения: 2191
Зарегистрирован: 22 фев 2009, 13:38
Откуда: Беларусь-Lietuva
Контактная информация:

Папиллярная карцинома, УЗИ

Сообщение KsV »

Мужчина средних лет.
2.jpg
3.jpg
4.jpg

phpBB [video]

phpBB [video]
Serg
Сообщения: 252
Зарегистрирован: 15 июн 2011, 20:52
Контактная информация:

Re: Щитовидной железы УЗИ

Сообщение Serg »

изоэхогенный узел с кальцинатами
Аватара пользователя
KsV
Администратор
Сообщения: 2191
Зарегистрирован: 22 фев 2009, 13:38
Откуда: Беларусь-Lietuva
Контактная информация:

Re: Щитовидной железы УЗИ

Сообщение KsV »

Фу-фу-фу.
Типичная картина, кстати.
Аватара пользователя
KsV
Администратор
Сообщения: 2191
Зарегистрирован: 22 фев 2009, 13:38
Откуда: Беларусь-Lietuva
Контактная информация:

Re: Папилляная карцинома, УЗИ

Сообщение KsV »

Папилляная карцинома.
Диагноз доказан морфологически (ТАБ, гистология).
Ответить

Вернуться в «Малые органы»

Кто сейчас на конференции

Сейчас этот форум просматривают: нет зарегистрированных пользователей и 0 гостей