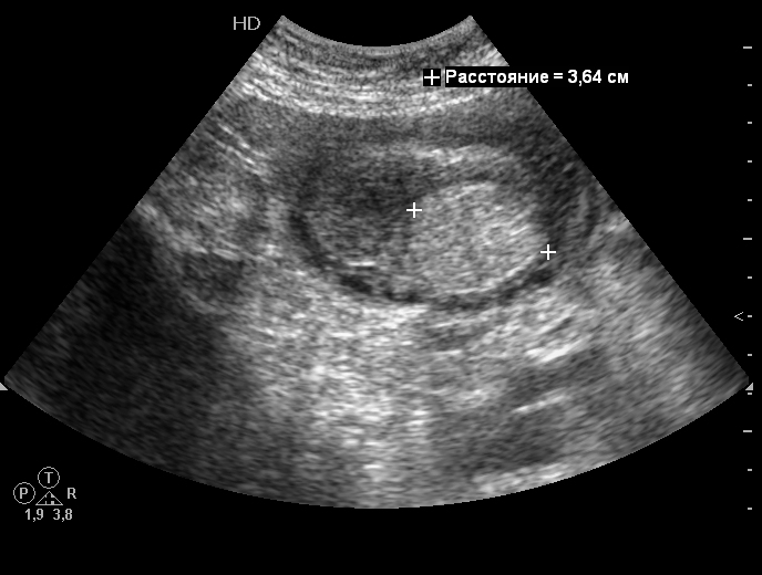
Опухоль и инвагинация тонкой кишки - УЗИ

Печень, желчный пузырь, поджелудочная железа, селезенка. Кишечник.
Только верифицированые изображения
Аватара пользователя
KsV
Администратор
Сообщения: 2191
Зарегистрирован: 22 фев 2009, 13:38
Откуда: Беларусь-Lietuva
Контактная информация:

Re: УЗИ ОБП

Сообщение KsV »

А вот причина
06-11-14-085008_KHMEL'NIKOVA MP 69_20061114_085008_0018.jpg
Олеся0006.jpg
Олеся0005.jpg
Аватара пользователя
KsV
Администратор
Сообщения: 2191
Зарегистрирован: 22 фев 2009, 13:38
Откуда: Беларусь-Lietuva
Контактная информация:

Re: УЗИ ОБП

Сообщение KsV »

Serg писал(а):что это? :cry:
Да, присоединяюсь, - что это?
Serg
Сообщения: 252
Зарегистрирован: 15 июн 2011, 20:52
Контактная информация:

Re: УЗИ ОБП

Сообщение Serg »

яичник закрутился?
Аватара пользователя
KsV
Администратор
Сообщения: 2191
Зарегистрирован: 22 фев 2009, 13:38
Откуда: Беларусь-Lietuva
Контактная информация:

Re: УЗИ ОБП

Сообщение KsV »

Serg писал(а):яичник закрутился?
Каким образом? - интересен механизм.
Serg
Сообщения: 252
Зарегистрирован: 15 июн 2011, 20:52
Контактная информация:

Re: УЗИ ОБП

Сообщение Serg »

каловый завал :geek:
Аватара пользователя
KsV
Администратор
Сообщения: 2191
Зарегистрирован: 22 фев 2009, 13:38
Откуда: Беларусь-Lietuva
Контактная информация:

Re: УЗИ ОБП

Сообщение KsV »

Serg писал(а):каловый завал :geek:
Непроходимость тонкокишечная?
Serg
Сообщения: 252
Зарегистрирован: 15 июн 2011, 20:52
Контактная информация:

Re: УЗИ ОБП

Сообщение Serg »

да..ну тогда непрожованный кусок мяса или зубной протез...
Аватара пользователя
KsV
Администратор
Сообщения: 2191
Зарегистрирован: 22 фев 2009, 13:38
Откуда: Беларусь-Lietuva
Контактная информация:

Re: УЗИ ОБП

Сообщение KsV »

Serg писал(а):да..ну тогда непрожованный кусок мяса или зубной протез...
Кусок мяса даже такой формы наверняка бы был переварен выше.
На протез не похоже по форме.
Ответить

Вернуться в «Абдоминальные исследования»

Кто сейчас на конференции

Сейчас этот форум просматривают: нет зарегистрированных пользователей и 0 гостей