УЗИ: атония мочеточника при переполнении мочевого пузыря

Почки, мочеточники, мочевой пузырь, уретра. Простата и яички.

Модератор: KsV

Ответить
Аватара пользователя
KsV
Администратор
Сообщения: 2191
Зарегистрирован: 22 фев 2009, 13:38
Откуда: Беларусь-Lietuva
Контактная информация:

УЗИ: атония мочеточника при переполнении мочевого пузыря

Сообщение KsV »

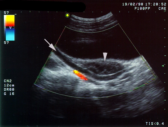
Мочевой пузырь "подготовлен" для исследования органов малого таза.
Типичная ситуация при этом - атония верхних мочевых путей ("необструктивный легкий уретерогидронефроз"). Изменения исчезают через некоторое время после микции.

Стрелкой обозначен мочеточник, наконечник стрелы со стороны мочевого пузыря указывает на неизмененный яичник.
UR-OVAR1.JPG
Ответить

Вернуться в «Уронефрологические исследования»

Кто сейчас на конференции

Сейчас этот форум просматривают: нет зарегистрированных пользователей и 0 гостей