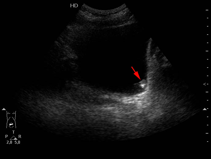
Опухоль мочевого пузыря. Urine bladder small papillary tumor

Почки, мочеточники, мочевой пузырь, уретра. Простата и яички.

Модератор: KsV

Ответить
Аватара пользователя
KsV
Администратор
Сообщения: 2191
Зарегистрирован: 22 фев 2009, 13:38
Откуда: Беларусь-Lietuva
Контактная информация:

Опухоль мочевого пузыря. Urine bladder small papillary tumor

Сообщение KsV »

Пожилой мужчина, жалоб нет.

Маленькая папиллярная опухоль (с инкрустацией) левой стенки мочевого пузыря.
07-11-01-100355_49_20071101_100357_0007.jpg
phpBB [video]
Ответить

Вернуться в «Уронефрологические исследования»

Кто сейчас на конференции

Сейчас этот форум просматривают: нет зарегистрированных пользователей и 1 гость