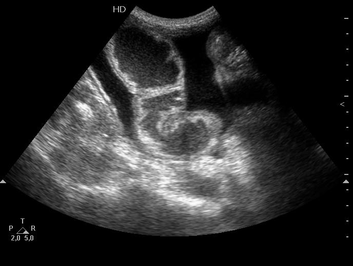
Кишечная непроходимость, асцит. Ileus, ascitis.

Печень, желчный пузырь, поджелудочная железа, селезенка. Кишечник.
Только верифицированые изображения
Ответить
Аватара пользователя
KsV
Администратор
Сообщения: 2191
Зарегистрирован: 22 фев 2009, 13:38
Откуда: Беларусь-Lietuva
Контактная информация:

Кишечная непроходимость, асцит. Ileus, ascitis.

Сообщение KsV »

Женщина, боли в животе. Оперирована ранее по поводу опухоли толстой кишки.
07-11-02-094934__20071102_094937_0005.jpg
phpBB [video]
Ответить

Вернуться в «Абдоминальные исследования»

Кто сейчас на конференции

Сейчас этот форум просматривают: нет зарегистрированных пользователей и 2 гостя