Интересные почки

Изображения для консультации
Ответить
Bugati
Сообщения: 7
Зарегистрирован: 30 апр 2016, 09:43
Контактная информация:

Интересные почки

Сообщение Bugati »

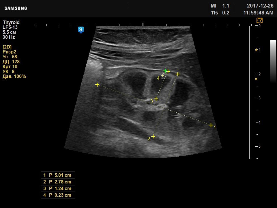
Прошу совета, ребенку 3мес, изменения выявлены около месяца назад в стационаре, где находились по причине желтухи. Вчера были на исследовании у меня: почки нормальных размеров (50х26мм), ЧЛС не расширена, паренхима 11мм, но бросается необычная структура паренхимы, корковый слой повышенной плотности истончен, преобладает мозговой слой в виде больших пирамид, кисты в них не дифференцирую.
Предполагаю дисплазию.
Ваши мысли?
Вложения
1_1.JPG
1_2.JPG
servik
Сообщения: 279
Зарегистрирован: 28 май 2015, 14:47
Контактная информация:

Re: Интересные почки

Сообщение servik »

по мне так уз-норма.

Вопрос к админу, на форуме есть материаль по узи почечных артерий?
Аватара пользователя
KsV
Администратор
Сообщения: 2189
Зарегистрирован: 22 фев 2009, 13:38
Откуда: Беларусь-Lietuva
Контактная информация:

Re: Интересные почки

Сообщение KsV »

Мало вижу почек у детей, но картина у новорожденных отличается от почек детей по-старше. У меня впечатление, что они так и должны выглядеть - фетальная дольчатость, измененное соотношение коркового и мозгового вещества.

По сосудам на сайте мало информации, все в книге.
Bugati
Сообщения: 7
Зарегистрирован: 30 апр 2016, 09:43
Контактная информация:

Re: Интересные почки

Сообщение Bugati »

спасибо за ответ и ваше мнение! будем наблюдать
Ответить

Вернуться в «Исследования в педиатрии»

Кто сейчас на конференции

Сейчас этот форум просматривают: нет зарегистрированных пользователей и 0 гостей