в плевральной полости
-
Anastasia
- Сообщения: 423
- Зарегистрирован: 07 янв 2013, 14:09
- Откуда: г. Могилёв
- Контактная информация:
в плевральной полости
Пациент пришел на УЗИ ОБП с жалобами на сильную головную боль и головокружение. Температура тела нормальная, в крови 16 тыс. лейкоцитов.
Поперечный скан, левая плевральная полость:
Продольный скан, левая плевральная полость:
Со стороны живота:
Поперечный скан, левая плевральная полость:
Продольный скан, левая плевральная полость:
Со стороны живота:
- KsV
- Администратор
- Сообщения: 2191
- Зарегистрирован: 22 фев 2009, 13:38
- Откуда: Беларусь-Lietuva
- Контактная информация:
Re: в плевральной полости
Ателектаз левого легкого, исключить Са. Абсцесс?
КТ, бронхоскопия.
КТ, бронхоскопия.
-
Anastasia
- Сообщения: 423
- Зарегистрирован: 07 янв 2013, 14:09
- Откуда: г. Могилёв
- Контактная информация:
Re: в плевральной полости
У меня сложилось впечатление, что образование существует отдельно от лёгкого. Смущает его правильная овоидная форма, ровный контур, неоднородная структура и отсутствие ткани легкого (воздушного/безвоздушного) вокруг него. При ЦДК кровоток не определялся. КТ рекомендовала.
- KsV
- Администратор
- Сообщения: 2191
- Зарегистрирован: 22 фев 2009, 13:38
- Откуда: Беларусь-Lietuva
- Контактная информация:
Re: в плевральной полости
На представленных сканах не вижу нормальной ткани легкого. Плевральная жидкость довольно однородна для плеврита с цитозом 16К. Если эта штука не связана с легким, то мб свящана с плеврой - мезотелиома?
Прошу отследить случай.
Прошу отследить случай.
-
Anastasia
- Сообщения: 423
- Зарегистрирован: 07 янв 2013, 14:09
- Откуда: г. Могилёв
- Контактная информация:
Re: в плевральной полости
Сегодня позвала его на повторный осмотр ( находится в стационаре). Вот такая картина:
1.Продольный скан по подмышечной линии
2.
На 1-м скане к верхней части образования прилежит статичная структура, похожая на участок консолидированного лёгкого, но расположена она глубоковато, чтобы детально рассмотреть. И сегодня виден в образовании участок жидкостной с горизонтальным уровнем- абсцесс?
Написала "объемное образование в левой плевральной полости (с абсцедированием?)", поговорила с лечащим доктором, думают как ускорить КТ.
Сегодня пациенту выполнили ФГДС. Эндоскопист сказал, что пищевод сильно смещен, есть диафрагмальная грыжа, слизистая обычная.
1.Продольный скан по подмышечной линии
2.
На 1-м скане к верхней части образования прилежит статичная структура, похожая на участок консолидированного лёгкого, но расположена она глубоковато, чтобы детально рассмотреть. И сегодня виден в образовании участок жидкостной с горизонтальным уровнем- абсцесс?
Написала "объемное образование в левой плевральной полости (с абсцедированием?)", поговорила с лечащим доктором, думают как ускорить КТ.
Сегодня пациенту выполнили ФГДС. Эндоскопист сказал, что пищевод сильно смещен, есть диафрагмальная грыжа, слизистая обычная.
-
Anastasia
- Сообщения: 423
- Зарегистрирован: 07 янв 2013, 14:09
- Откуда: г. Могилёв
- Контактная информация:
Re: в плевральной полости
На данный момент пациента беспокоит сильное головокружение, голова значительно меньше болит. В ОАК 15 тыс лейкоцитов. Темп. тела норм.
Анамнез: 2 недели болит и кружится голова, за это время 2 раза повышалась температура тела до 38.8, 3 дня назад,вечером, после приема пищи резко стало плохо, "дурман" в голове, не помнит терял сознание или нет, появилась тошнота, однократная рвота. Вызвал скорую-госпитализирован.
УЗИ выполнялось позавчера и сегодня.
Анамнез: 2 недели болит и кружится голова, за это время 2 раза повышалась температура тела до 38.8, 3 дня назад,вечером, после приема пищи резко стало плохо, "дурман" в голове, не помнит терял сознание или нет, появилась тошнота, однократная рвота. Вызвал скорую-госпитализирован.
УЗИ выполнялось позавчера и сегодня.
- KsV
- Администратор
- Сообщения: 2191
- Зарегистрирован: 22 фев 2009, 13:38
- Откуда: Беларусь-Lietuva
- Контактная информация:
Re: в плевральной полости
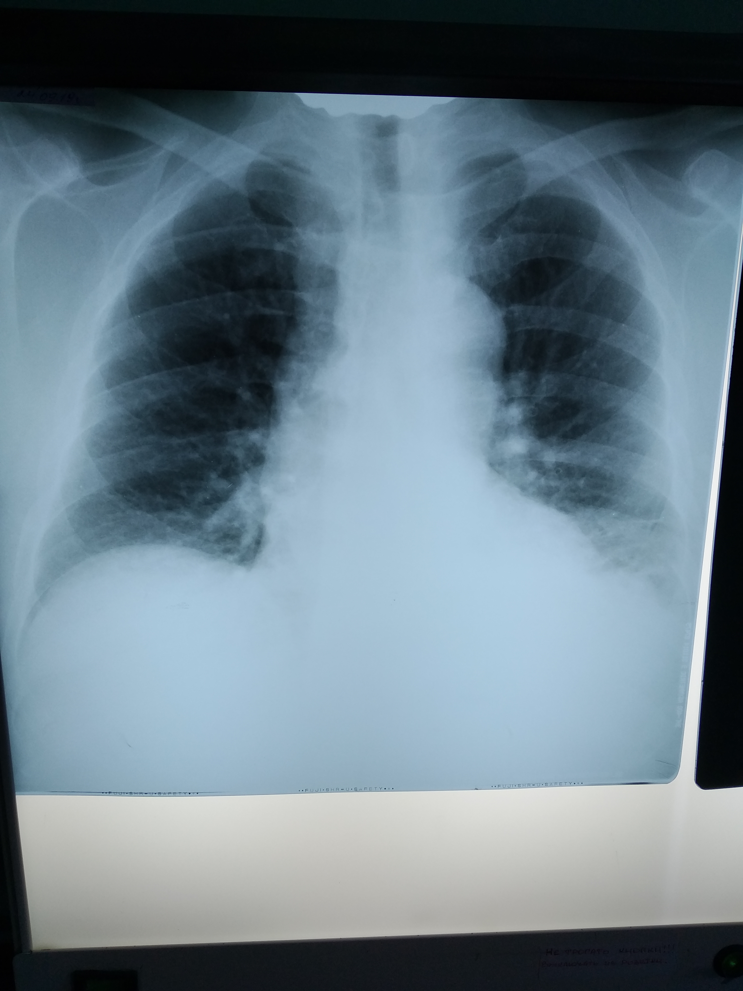
Похоже на опухоль с распадом и нагноением, ателектаз, гидроторакс/плеврит.
Рентгенограмму покажете?
Рентгенограмму покажете?
-
Anastasia
- Сообщения: 423
- Зарегистрирован: 07 янв 2013, 14:09
- Откуда: г. Могилёв
- Контактная информация:
Re: в плевральной полости
Завтра его повезут на КТ. Диск жена обещала купить, поэтому и КТ картинка, возможно, будет.
Кто сейчас на конференции
Сейчас этот форум просматривают: нет зарегистрированных пользователей и 0 гостей