УЗИ панкреас, болевой приступ
- KsV
- Администратор
- Сообщения: 2191
- Зарегистрирован: 22 фев 2009, 13:38
- Откуда: Беларусь-Lietuva
- Контактная информация:
Re: УЗИ панкреас, болевой приступ
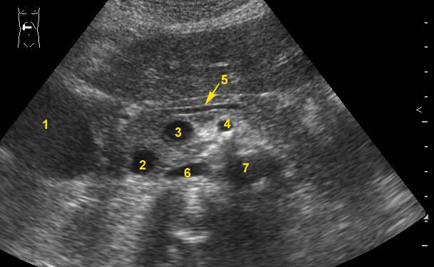
Давайте разберем анатомию.
Перечислите, пожалуйста, отмеченные на сонограмме анатомические структуры.
Перечислите, пожалуйста, отмеченные на сонограмме анатомические структуры.
Re: УЗИ панкреас, болевой приступ
1- ЖП
2- нижняя полая вена
3-селез.вена
4- верх.брыжеечная артерия
5-вирсунгов проток
6-аорта
7- ?
2- нижняя полая вена
3-селез.вена
4- верх.брыжеечная артерия
5-вирсунгов проток
6-аорта
Re: УЗИ панкреас, болевой приступ
Размеров нет, но визуально не похоже, что железа увеличена в размерах. Но Вирсунгов проток расширен. И, похоже, что холедох тоже.
Re: УЗИ панкреас, болевой приступ
1- печень
2 - холедох
3- место образования воротной вены
4- ВБА
5 - Вирсунгов проток
6 - НПВ
7 - аорта
2 - холедох
3- место образования воротной вены
4- ВБА
5 - Вирсунгов проток
6 - НПВ
7 - аорта
- KsV
- Администратор
- Сообщения: 2191
- Зарегистрирован: 22 фев 2009, 13:38
- Откуда: Беларусь-Lietuva
- Контактная информация:
Re: УЗИ панкреас, болевой приступ
niki, все верно.
Теперь соберем воедино то, что мы имеем.
Пациент с болевым приступом. Расширен холедох, подраскрыт вирсунгов проток, увеличен желчный пузырь (ориентируемся на сантиметровые метки).
Что мы можем предположить?
Теперь соберем воедино то, что мы имеем.
Пациент с болевым приступом. Расширен холедох, подраскрыт вирсунгов проток, увеличен желчный пузырь (ориентируемся на сантиметровые метки).
Что мы можем предположить?
Re: УЗИ панкреас, болевой приступ
Ищем камень или другую причину обструкции в общем желчном протоке
- KsV
- Администратор
- Сообщения: 2191
- Зарегистрирован: 22 фев 2009, 13:38
- Откуда: Беларусь-Lietuva
- Контактная информация:
Re: УЗИ панкреас, болевой приступ
... находим камушек, эндоскописты рассекают БДС, больная выздоравливает.Инга писал(а):Ищем камень или другую причину обструкции в общем желчном протоке
Хворает бабушка.
Ее мы посмотрели.
О многом говорит ультразвуковая картинка...
Re: УЗИ панкреас, болевой приступ
И все-равно еще 2х-недельный "срок" не помешает!
Спасибо!
Спасибо!
- KsV
- Администратор
- Сообщения: 2191
- Зарегистрирован: 22 фев 2009, 13:38
- Откуда: Беларусь-Lietuva
- Контактная информация:
Re: УЗИ панкреас, болевой приступ
Пожалуйста.Инга писал(а):И все-равно еще 2х-недельный "срок" не помешает!![]()
Спасибо!
В архив.
Re: УЗИ панкреас, болевой приступ
Интересно а как определить, что это холедох, а не киста или абсцесс какой 
Кто сейчас на конференции
Сейчас этот форум просматривают: нет зарегистрированных пользователей и 5 гостей