мочеточник?
Модератор: KsV
-
Anastasia
- Сообщения: 423
- Зарегистрирован: 07 янв 2013, 14:09
- Откуда: г. Могилёв
- Контактная информация:
Re: мочеточник?
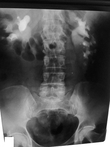
Рентгенолог сказал, что есть сдавление правого мочеточника извне на уровне с\3. Снимки не видела. Думаю, после обеда смогу их увидеть и выложить. Хочу её после обеда, как освободится аппарат, пересмотреть.
- KsV
- Администратор
- Сообщения: 2191
- Зарегистрирован: 22 фев 2009, 13:38
- Откуда: Беларусь-Lietuva
- Контактная информация:
Re: мочеточник?
L3 ?Anastasia писал(а):Рентгенолог сказал, что есть сдавление правого мочеточника извне на уровне с\3. Снимки не видела. Думаю, после обеда смогу их увидеть и выложить. Хочу её после обеда, как освободится аппарат, пересмотреть.
-
Anastasia
- Сообщения: 423
- Зарегистрирован: 07 янв 2013, 14:09
- Откуда: г. Могилёв
- Контактная информация:
Re: мочеточник?
средней трети мочеточника
-
Anastasia
- Сообщения: 423
- Зарегистрирован: 07 янв 2013, 14:09
- Откуда: г. Могилёв
- Контактная информация:
Re: мочеточник?
Сори за задержку- технические трудности.
Вот снимки:
Вот снимки:
- KsV
- Администратор
- Сообщения: 2191
- Зарегистрирован: 22 фев 2009, 13:38
- Откуда: Беларусь-Lietuva
- Контактная информация:
Re: мочеточник?
По УЗИ получается что эта штука должна быть примерно здесь - указано стрелкой - или чуть ниже.
- KsV
- Администратор
- Сообщения: 2191
- Зарегистрирован: 22 фев 2009, 13:38
- Откуда: Беларусь-Lietuva
- Контактная информация:
Re: мочеточник?
Еще желательно проинспектировать нижнюю треть правого мочеточника при наполненном мочевом пузыре - непонятна атония мочеточника на всем протяжении, нужно искать причину.
-
Anastasia
- Сообщения: 423
- Зарегистрирован: 07 янв 2013, 14:09
- Откуда: г. Могилёв
- Контактная информация:
Re: мочеточник?
В тот-же день, когда выложила снимки, пересмотрела эту женщину. Четко получилось вывести и проследить мочеточник в верхней и средней трети, нижнюю треть не увидела. Четко была видна внутримышечная локализация образования.
Я вот думаю, а может ли это быть гематомой и что это, всё-таки, за гиперэхогенные структуры в ней (если кальцинаты, то откуда?). На момент осмотра в ОАК лейкоцитов было до 8 , при гнойном псоите это значение, наверно, было бы повыше
Я вот думаю, а может ли это быть гематомой и что это, всё-таки, за гиперэхогенные структуры в ней (если кальцинаты, то откуда?). На момент осмотра в ОАК лейкоцитов было до 8 , при гнойном псоите это значение, наверно, было бы повыше
- KsV
- Администратор
- Сообщения: 2191
- Зарегистрирован: 22 фев 2009, 13:38
- Откуда: Беларусь-Lietuva
- Контактная информация:
Re: мочеточник?
Тогда уже нагноение гематомы. Гиперэхогенная структура может быть кальцинатом длительно существующей гематомы (или корпусом).Anastasia писал(а):В тот-же день, когда выложила снимки, пересмотрела эту женщину. Четко получилось вывести и проследить мочеточник в верхней и средней трети, нижнюю треть не увидела. Четко была видна внутримышечная локализация образования.
Я вот думаю, а может ли это быть гематомой и что это, всё-таки, за гиперэхогенные структуры в ней (если кальцинаты, то откуда?). На момент осмотра в ОАК лейкоцитов было до 8 , при гнойном псоите это значение, наверно, было бы повыше
Причина появления образования остается неясной.
-
Anastasia
- Сообщения: 423
- Зарегистрирован: 07 янв 2013, 14:09
- Откуда: г. Могилёв
- Контактная информация:
Re: мочеточник?
Надеюсь, что отправят её на КТ, во всяком случае в протоколе эту рекомендацию дала.
Думаю, проследить случай получится.
Думаю, проследить случай получится.
Кто сейчас на конференции
Сейчас этот форум просматривают: нет зарегистрированных пользователей и 1 гость