Боли в животе

Печень, желчный пузырь, поджелудочная железа, селезенка. Кишечник.
Изображения для консультации
servik
Сообщения: 279
Зарегистрирован: 28 май 2015, 14:47
Контактная информация:

Re: Боли в животе

Сообщение servik »

спасибо, будет контроль, что искать мне?
Аватара пользователя
KsV
Администратор
Сообщения: 2191
Зарегистрирован: 22 фев 2009, 13:38
Откуда: Беларусь-Lietuva
Контактная информация:

Re: Боли в животе

Сообщение KsV »

servik писал(а):спасибо, будет контроль, что искать мне?
Измения панкреас и всего что рядом. Но скорее всего пациент уже запросится на выписку.
servik
Сообщения: 279
Зарегистрирован: 28 май 2015, 14:47
Контактная информация:

Re: Боли в животе

Сообщение servik »

ок., я думаю будет контроль. однако диастаза маловата для панкреатита, а боли в проекции указанной в ролике, да и увидел я инфильтрацию, где то была фото
servik
Сообщения: 279
Зарегистрирован: 28 май 2015, 14:47
Контактная информация:

Re: Боли в животе

Сообщение servik »

KsV писал(а):
servik писал(а):Так точно. Могу.

описание:

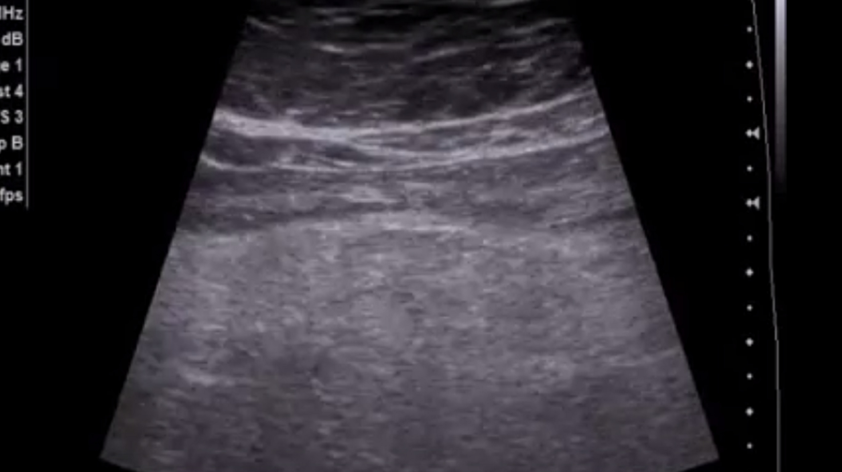
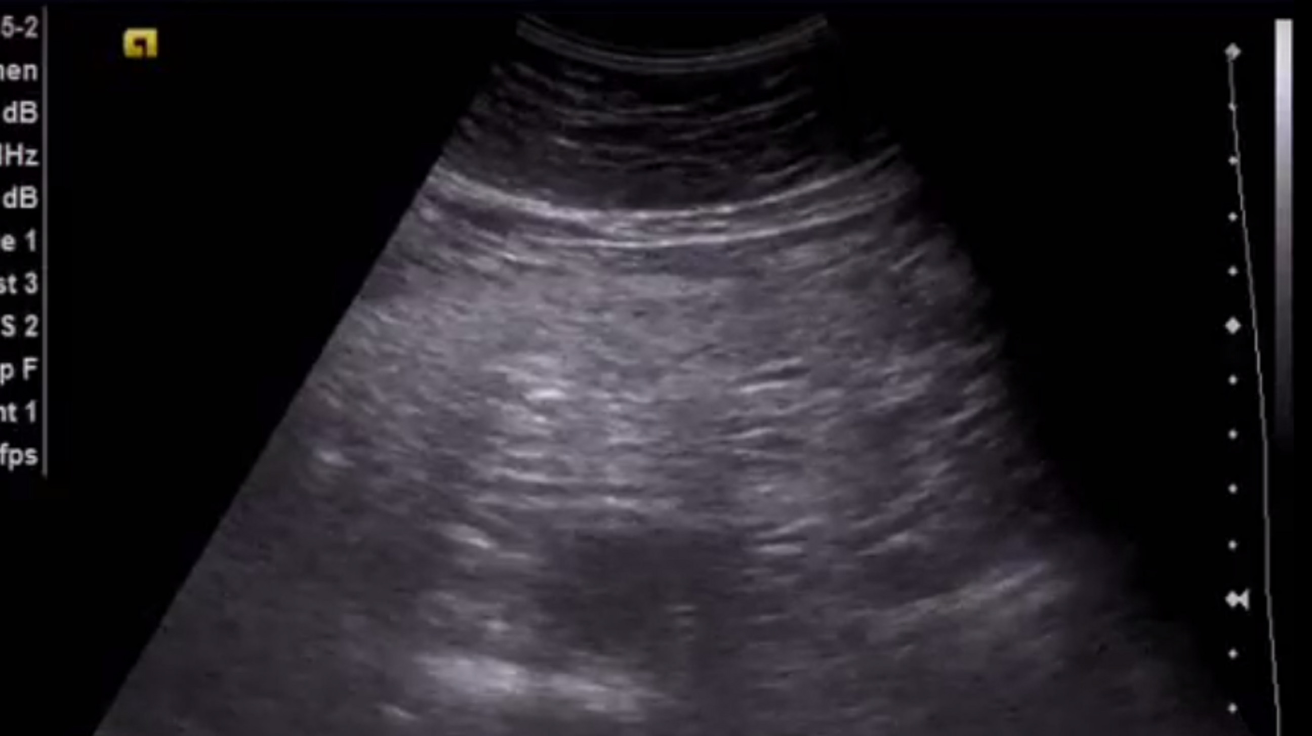
в проекции поперечно ободочной кишки, лоцируется фрагмент гиперэхогенного сальника , размером 12*4 см, с признаками кровотока на ЭДК

Заключение Уз признаки воспалительных изменений фрагмента большого сальника(инфаркт?)
Крайне неубедительно.

посмотрите эхограммы, пожалуйста. В ролике можно сравнить эхогенность сальника в указанной области и правее
Вложения
s12.jpg
s1.jpg
s.jpg
Аватара пользователя
KsV
Администратор
Сообщения: 2191
Зарегистрирован: 22 фев 2009, 13:38
Откуда: Беларусь-Lietuva
Контактная информация:

Re: Боли в животе

Сообщение KsV »

Результаты?
servik
Сообщения: 279
Зарегистрирован: 28 май 2015, 14:47
Контактная информация:

Re: Боли в животе

Сообщение servik »

на контроле не был, из одних источников - выписан, из других проходит лечение по поводу панкреатита
Аватара пользователя
KsV
Администратор
Сообщения: 2191
Зарегистрирован: 22 фев 2009, 13:38
Откуда: Беларусь-Lietuva
Контактная информация:

Re: Боли в животе

Сообщение KsV »

servik писал(а):на контроле не был, из одних источников - выписан, из других проходит лечение по поводу панкреатита
Нужно бы уточнить.
И разобрать последние картинки про "инфаркт сальника".
servik
Сообщения: 279
Зарегистрирован: 28 май 2015, 14:47
Контактная информация:

Re: Боли в животе

Сообщение servik »

согласен. Но данный случай не первый в моей практике, и хирурги ведут с панкреатитом при наличии нормальной диастазы...может у Вас по другому, в любом случае держу руку на пульсе))
Аватара пользователя
KsV
Администратор
Сообщения: 2191
Зарегистрирован: 22 фев 2009, 13:38
Откуда: Беларусь-Lietuva
Контактная информация:

Re: Боли в животе

Сообщение KsV »

servik писал(а):согласен. Но данный случай не первый в моей практике, и хирурги ведут с панкреатитом при наличии нормальной диастазы...может у Вас по другому, в любом случае держу руку на пульсе))
Ну а что им остается лечить при таком анамнезе?
Но я никогда не встречал острый панкреатит вообще без никаких данных за панкреатит - ни лабораторных, ни ультразвуковых.
servik
Сообщения: 279
Зарегистрирован: 28 май 2015, 14:47
Контактная информация:

Re: Боли в животе

Сообщение servik »

а этот случай? ни уз ни лабораторный данный, клиника - боли в эпигастрии и правом подреберье - панкреатит
Ответить

Вернуться в «Абдоминальные исследования»

Кто сейчас на конференции

Сейчас этот форум просматривают: нет зарегистрированных пользователей и 1 гость