УЗ-изменения почек при миоглобинурии

Почки, мочеточники, мочевой пузырь, уретра. Простата и яички.

Модератор: KsV

Ответить
Аватара пользователя
KsV
Администратор
Сообщения: 2191
Зарегистрирован: 22 фев 2009, 13:38
Откуда: Беларусь-Lietuva
Контактная информация:

УЗ-изменения почек при миоглобинурии

Сообщение KsV »

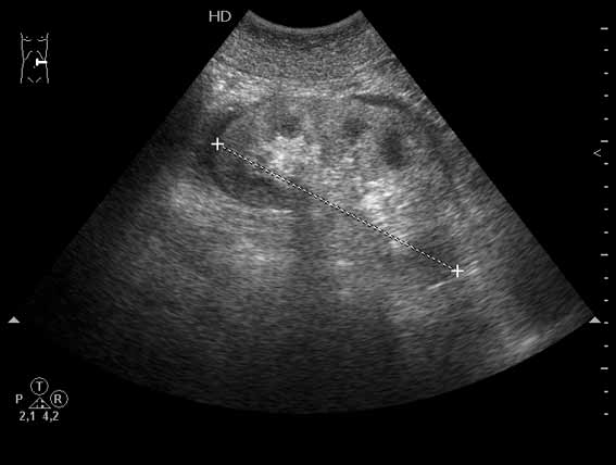
Женщина средних лет. В состоянии алкогольного опьянения уснула на корточках. Через несколько часов почувствовала онемение мышц и сильные мышечные боли.
Мышцы плотные на ощупь. При УЗИ сосудов имеются признаки компрессии вен увеличенными мышцами, острый тромбоз вен левой голени.
В общем анализе мочи - белок 2 г\л, микрогематурия, миоглобинурия.
Суточный диурез 500 мл.

Выявлены симметричные изменения обеих почек (см сонограмму и видеоклип).
Вложения
1.jpg
109-04-08-104932_2845_20090409_161953.mov
(1004.61 КБ) 265 скачиваний
Аватара пользователя
KsV
Администратор
Сообщения: 2191
Зарегистрирован: 22 фев 2009, 13:38
Откуда: Беларусь-Lietuva
Контактная информация:

Re: УЗ-изменения почек при миоглобинурии

Сообщение KsV »

Uzgraph писал(а):Это точно, опять изменения, но не диагноз, т.е. патологии не выявлено. :)
Патологические изменения почки (почек) и забрюшинного пространства здесь налицо и я думаю каждый специалист их видит.
Данный пост размещен в рубрике "Консультация медицинских изображений", т.е. автор поста просит о помощи в оценке изображений. Поэтому любой ответ должен быть максимально конструктивным.
Аватара пользователя
KsV
Администратор
Сообщения: 2191
Зарегистрирован: 22 фев 2009, 13:38
Откуда: Беларусь-Lietuva
Контактная информация:

Re: УЗ-изменения почек при миоглобинурии

Сообщение KsV »

Uzgraph писал(а):
KapustinSV писал(а):
Патологические изменения почки (почек) и забрюшинного пространства здесь налицо и я думаю каждый специалист их видит.
Данный пост размещен в рубрике "Консультация медицинских изображений", т.е. автор поста просит о помощи в оценке изображений. Поэтому любой ответ должен быть максимально конструктивным.
Конструктива здесь не получится, т.к. данное изображение неспецифично, можно назвать его возрастными изменениями, можно изменениями на фоне лекарств, использовать термин нефропатия с уточнением на усмотрение автора, а можно честно написать, что патологии не выявлено. Т.е. все зависит от задач, если вы занимаетесь наукой, то первый вариант, если практикой, то второй.
Вы всерьез не видите никаких изменений?
А.М.Шифрин
Сообщения: 60
Зарегистрирован: 12 апр 2009, 18:41
Контактная информация:

Re: УЗ-изменения почек при миоглобинурии

Сообщение А.М.Шифрин »

Uzgraph писал(а):Повышение эхогенности паренхимы и синуса почки?
Я подобную картину периодически вижу у клинически здоровых детей (ОАК, ОАМ как правило в норме).
В свое время тоже писал нефропатии, а потом понял, что никому это не нужно.
Т.к. на первом месте не анализы, а клиника, так С.В.?
М,б. коллега Uzgraph сможет объяснить, почему в "нормальной" почке заметно повышена эхоплотность коркового слоя паренхимы, и усилена кортико-медуллярная дифференцировка. Какие механизмы в рамках нормальной физиологии почки обеспечивают этот феномен.
Аватара пользователя
Dr.Mario
Эксперт
Сообщения: 160
Зарегистрирован: 17 мар 2009, 07:36
Контактная информация:

Re: УЗ-изменения почек при миоглобинурии

Сообщение Dr.Mario »

Абсолютно согласен с коллегами Сергеем Капустиным и А. Шифриным, по УЗИ нефропатия тип 1. Это патология, и не указывать такие изменения будет ошибкой. Kак исключение, иногда у новорожденных можно ещё понаблюдать месяца 2-3 (имея при этом настороженность по Поттер 3), такая гиперэхогенность кортекса с сохранённой дифференцировкой может наблюдатся у них как вариант фетальных особенностей, к 2-3 месяцам всё должно прийти к привычной УЗИ картине. Но это как исключение.
Let me see...
www.radiographia.ru
besliu
Сообщения: 142
Зарегистрирован: 11 окт 2009, 08:31
Контактная информация:

Re: УЗ-изменения почек при миоглобинурии

Сообщение besliu »

ТО,что пациентка заснула на корточках не исключает развитие КРАШ синдрома и на этом фоне изменения почек по типу нефропатии.Имеются и "старые"изменения собирателбного комплекс,который неструктурный и дает акустическую тень по типу "веера"-что в пользу конкрементов мелких
Аватара пользователя
Инга
Сообщения: 216
Зарегистрирован: 23 ноя 2009, 17:22
Контактная информация:

Re: УЗ-изменения почек при миоглобинурии

Сообщение Инга »

Может много времени прошло, но если случай все еще в консультациях- значит можно :)
Попробую ( только видео не открывается) Поражение почек при синдроме позиционного сдавления .
Что видим:
1. Почки симметрично увеличены
2. Паренхима утолщена, эхогенность коркового вещества повышена
3. Пирамиды увеличены в размерах
4. Анамнез-клиника- ОАМ :arrow: т.н ренальный тип ОПН?
Irunya
Сообщения: 1
Зарегистрирован: 12 мар 2011, 20:28
Контактная информация:

Re: УЗ-изменения почек при миоглобинурии

Сообщение Irunya »

Наблюдается синдром позиционной компрессии, или позиционного сдавления, возникающий в результате длительного неподвижного положения тела пострадавшего, находящегося в бессознательном состоянии (кома, отравление и т.п.) или в состоянии глубокого патологического сна. При этом ишемия развивается от сдавления релаксированных тканей массой собственного тела....В ранних стадиях С. д. с. в первую очередь поражаются почки, что проявляется деструкцией эпителия канальцев, стазом и тромбозом как в корковом, так и мозговом веществе. Значительные дистрофические изменения развиваются в почечных канальцах, просветы которых заполняются продуктами распада клеток. Миоглобин и образующийся при гемолизе эритроцитов свободный гемоглобин усиливают ишемию коркового вещества почек, что способствует прогрессированию процесса и развитию острой почечной недостаточности....это к патогенезу возникновения изменений УЗ-картины почек +результаты ОАМ >>>картина ОПН
Аватара пользователя
KsV
Администратор
Сообщения: 2191
Зарегистрирован: 22 фев 2009, 13:38
Откуда: Беларусь-Lietuva
Контактная информация:

Re: УЗ-изменения почек при миоглобинурии

Сообщение KsV »

Все верно.
В архив.
Ответить

Вернуться в «Уронефрологические исследования»

Кто сейчас на конференции

Сейчас этот форум просматривают: нет зарегистрированных пользователей и 0 гостей