Есть ли изменения в почках?

Почки, мочеточники, мочевой пузырь, уретра. Простата и яички.
Изображения для консультации

Модератор: KsV

Ответить
А.М.Шифрин
Сообщения: 60
Зарегистрирован: 12 апр 2009, 18:41
Контактная информация:

Есть ли изменения в почках?

Сообщение А.М.Шифрин »

Уважаемые коллеги! Клинический случай.
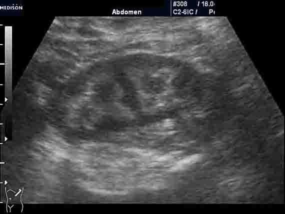
Женщина 50 лет. Прооперирована месяц назад по поводу альдостеромы левого надпочечника. Плановое УЗИ почек и надпочечников после операции. У нас смотрится впервые.
На УЗИ выявляю изменения в почках - см. фото. Паратгормон и уровень мочевой кислоты в норме. Креатинин 100-110. Меня старательно уверяют, что почки нормальные. И на МРТ, сделанной перед операцией, почки были якобы не изменены (но снимки потеряли). Отправил пациентку за копией снимков (в "живом" или цифровом варианте). Но большой надежды на восстановление данных нет.
Как вам кажется, коллеги: это нормальные почки? Я не исключаю в т.ч. и один из вариантов "губчатой почки".
С уважением, А.Шифрин.
Правая почка.
Правая почка.
Левая почка.
Левая почка.
Вложения
00_копия.jpg
Аватара пользователя
KsV
Администратор
Сообщения: 2191
Зарегистрирован: 22 фев 2009, 13:38
Откуда: Беларусь-Lietuva
Контактная информация:

Re: Есть ли изменения в почках?

Сообщение KsV »

Сонографическая картина нефрокальциноза. В некоторых пособиях такую картину называют "почками Андерссон-Карра".
А.М.Шифрин
Сообщения: 60
Зарегистрирован: 12 апр 2009, 18:41
Контактная информация:

Re: Есть ли изменения в почках?

Сообщение А.М.Шифрин »

Спасибо. Всегда хочется утвердиться в своих мыслях. Что еще поискать у женщины (определить кальций в крови и в моче? фосфор в крови?)
besliu
Сообщения: 142
Зарегистрирован: 11 окт 2009, 08:31
Контактная информация:

Re: Есть ли изменения в почках?

Сообщение besliu »

Я бы проверила гормоны паращит.железы
Ответить

Вернуться в «Уронефрологические исследования»

Кто сейчас на конференции

Сейчас этот форум просматривают: нет зарегистрированных пользователей и 0 гостей