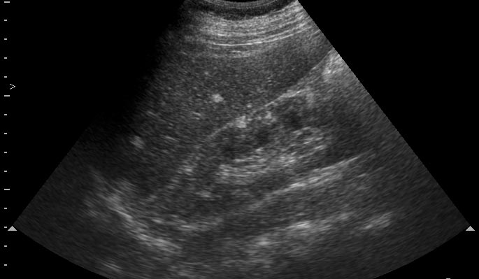
Парень 16 лет с эпилепсией. Изменения почек симметричные с обеих сторон. Ваши рекомендации?
УЗи почек - туберoзный склероз (болезнь Бурневиля)
Модератор: KsV
Re: Почки
Мысль пока появилась одна: Болезнь Бунневиля (Туберoзный склероз), рекомендация: МРТ головного мозга.
Re: Почки
В паренхиме поллиморфные гиперэхогеные очаги по типу ангиолипоматоза.Учитывая двустороннее поражение,да еще умственную отсталость,то возможна врожденная патология,которую Марио уже назвал( я бы остановилась просто на ангиолипоматозе
)
Re: Почки
Простите,не умственная отсталость,а судороги 
- KsV
- Администратор
- Сообщения: 2191
- Зарегистрирован: 22 фев 2009, 13:38
- Откуда: Беларусь-Lietuva
- Контактная информация:
Re: Почки
Все верно, туберoзный склероз. На сонограммах определяются образования типа ангиомиолипом/гемангиом почек/печени. Наличие судорог редполагает сходные изменения головного мозга - доказано на КТ.
В архив.
В архив.
Кто сейчас на конференции
Сейчас этот форум просматривают: нет зарегистрированных пользователей и 1 гость