Эмпиема ЖП. Перивезикулярный абсцесс
- KsV
- Администратор
- Сообщения: 2191
- Зарегистрирован: 22 фев 2009, 13:38
- Откуда: Беларусь-Lietuva
- Контактная информация:
Эмпиема ЖП. Перивезикулярный абсцесс
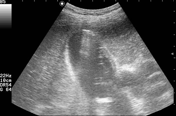
Пожилая женщина с болями в правом подреберье, высокой температурой.
Re: УЗИ желчного пузыря
Острый эмфизематозный холецистит? Эмпиема ЖП 
- KsV
- Администратор
- Сообщения: 2191
- Зарегистрирован: 22 фев 2009, 13:38
- Откуда: Беларусь-Lietuva
- Контактная информация:
Re: УЗИ желчного пузыря
В принципе верно, но недостаточно полно.Инга писал(а):Острый эмфизематозный холецистит? Эмпиема ЖП
Для того чтобы абсолютно правильно ответить на задачку, небходимо решить где находится газ - внутри или вне пузыря.
Re: УЗИ желчного пузыря
Могу предположить- перфорация ЖП? 
- KsV
- Администратор
- Сообщения: 2191
- Зарегистрирован: 22 фев 2009, 13:38
- Откуда: Беларусь-Lietuva
- Контактная информация:
Re: УЗИ желчного пузыря
Признаков перфорации нет...Инга писал(а):Могу предположить- перфорация ЖП?
Где находится газ?
Re: УЗИ желчного пузыря
Газ находится вне пузыря- в его ложе
3 попытка- Острый эмфизематозный холецистит. Эмпиема ЖП. Паравезикулярный абсцесс (других идей пока нет)
3 попытка- Острый эмфизематозный холецистит. Эмпиема ЖП. Паравезикулярный абсцесс (других идей пока нет)
- KsV
- Администратор
- Сообщения: 2191
- Зарегистрирован: 22 фев 2009, 13:38
- Откуда: Беларусь-Lietuva
- Контактная информация:
Re: УЗИ желчного пузыря
Абсолютно верно.Инга писал(а):Газ находится вне пузыря- в его ложе![]()
![]()
3 попытка- Острый эмфизематозный холецистит. Эмпиема ЖП. Паравезикулярный абсцесс (других идей пока нет)
В архив
Re: Эмпиема ЖП. Паравезикулярный абсцесс
Покажите,пожалуйста,стрелочкой,где паравезик.абсцесс,что-то не вижу
Спасибо.
- KsV
- Администратор
- Сообщения: 2191
- Зарегистрирован: 22 фев 2009, 13:38
- Откуда: Беларусь-Lietuva
- Контактная информация:
Re: Эмпиема ЖП. Паравезикулярный абсцесс
Вся фишка в том, что жидкость - гной - на УЗИ можно не увидеть, настолько тонким может быть ее слой. НО - о ее/его наличии указывает ГАЗ ВНЕ ПУЗЫРЯ.besliu писал(а):Покажите,пожалуйста,стрелочкой,где паравезик.абсцесс,что-то не вижуСпасибо.
Напомню, что все случаи представленные в разделах "Загадки" и "Архив" - верифицированы при оперативном вмешательстве, либо гистологически, либо с применением других методов.
Re: Эмпиема ЖП. Паравезикулярный абсцесс
Кто сейчас на конференции
Сейчас этот форум просматривают: нет зарегистрированных пользователей и 1 гость