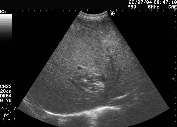
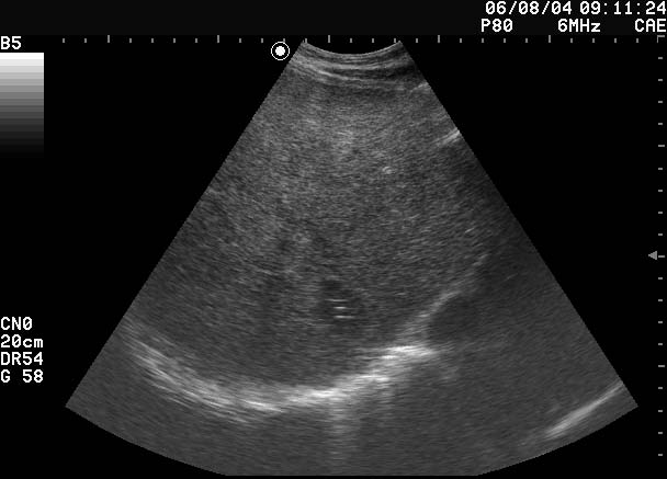
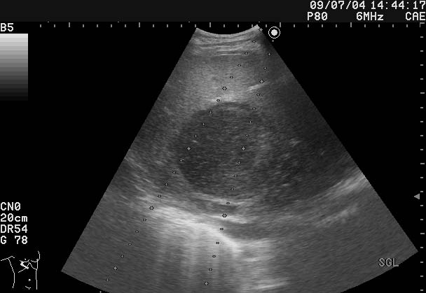
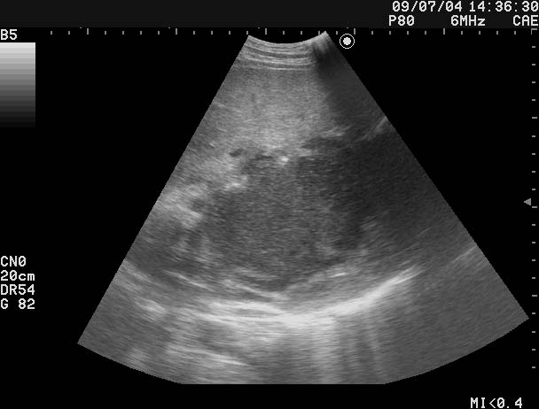
Молодой парень с болями в животе, высокой температурой и симптомами интоксикации
В печени обнаружен очаг
Ваше заключение и тактика?
Абсцесс печени, дренирование
Re: УЗИ печени
Противовоспалительная терапия с малоинвазивным вмешательством 
Re: УЗИ печени
Можно предположить абсцесс печени

- KsV
- Администратор
- Сообщения: 2191
- Зарегистрирован: 22 фев 2009, 13:38
- Откуда: Беларусь-Lietuva
- Контактная информация:
Re: УЗИ печени
Все верно, абсцесс печени
Дренирован, динамика - см по числам в правом верхнем углу сонограмм
Дренирован, динамика - см по числам в правом верхнем углу сонограмм
Кто сейчас на конференции
Сейчас этот форум просматривают: нет зарегистрированных пользователей и 0 гостей