Страница 1 из 3
УЗИ панкреас, болевой приступ
Добавлено: 29 ноя 2009, 00:54
KsV
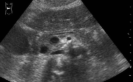
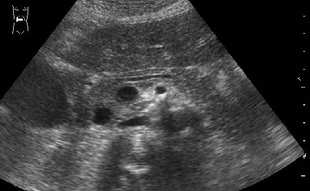
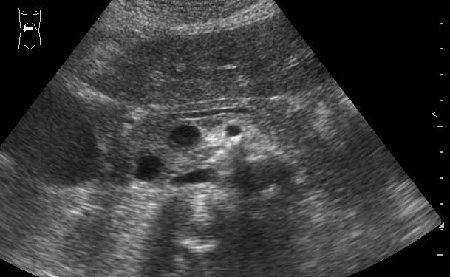
Молодая женщина с болями в животе.

- Продольная сонограмма панкреас
Какое заключение можно сделать по этой сонограмме?
Какова дальнейшая тактика ведения больной?
Re: УЗИ панкреас, болевой приступ
Добавлено: 01 дек 2009, 01:01
Брехт
Острый панкреатит с абсцедированием(есть такой?).......------консервативная терапия
Re: УЗИ панкреас, болевой приступ
Добавлено: 01 дек 2009, 10:19
KsV
Брехт писал(а):Острый панкреатит с абсцедированием(есть такой?).......------консервативная терапия
А какие здесь есть признаки о.панкреатита с абсцедированием?
Re: УЗИ панкреас, болевой приступ
Добавлено: 01 дек 2009, 15:47
Инга
Очаговые образования головки ПЖ (кисты?) Рек-но КТ.
Re: УЗИ панкреас, болевой приступ
Добавлено: 01 дек 2009, 16:57
KsV
Инга писал(а):Очаговые образования головки ПЖ (кисты?) Рек-но КТ.
Инга, ну где здесь кисты? Где здесь очаговые изменения? Вы хотите получить повторный 2-хнедельный срок?
Вспоминаем нормальную анатомию!
Re: УЗИ панкреас, болевой приступ
Добавлено: 01 дек 2009, 17:52
Лилия
Жаль нет снимка во взаимоперпендикулярной плоскости.Можно предположить аневризму брюшного отдела аорты.
Re: УЗИ панкреас, болевой приступ
Добавлено: 01 дек 2009, 18:39
KsV
Лилия писал(а):Жаль нет снимка во взаимоперпендикулярной плоскости.Можно предположить аневризму брюшного отдела аорты.
Холодно. Аневризмы брюшного отдела аорты здесь нет.
Re: УЗИ панкреас, болевой приступ
Добавлено: 02 дек 2009, 08:52
Инга
"Срок" бы не помешал ...
Хотите сказать, что это норма?

Re: УЗИ панкреас, болевой приступ
Добавлено: 02 дек 2009, 08:57
KsV
Инга писал(а):"Срок" бы не помешал ...
Хотите сказать, что это норма?

Конечно же не норма.
Re: УЗИ панкреас, болевой приступ
Добавлено: 02 дек 2009, 22:48
zubr
По моему это расширенный Вирсунгиев проток,нужно исключать патологию дуоденального сосочка-ФГС