Страница 1 из 1
Анэхогенное образование в перешейке матки
Добавлено: 07 дек 2009, 11:52
Doc
Уважаемые коллеги, прошу высказать ваше мнение по поводу следующей ситуации:

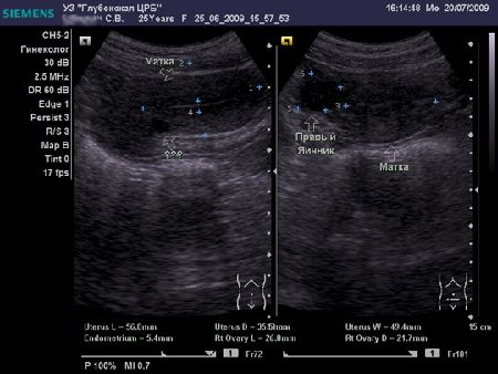
Женщина 25 лет предъявляет жалобы на периодически возникающую болезненность в нижних отделах живота, боли появились около 6-8 мес. Менструальная функция не нарушена. В анамнезе кесарево сечение, ребёнку 2,5 года.
Заранее благодарен.

- Сонограмма при первом обращении

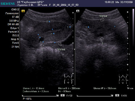
- Сонограмма после курса противовоспалительной терапии
Re: Анэхогенное образование в перешейке матки
Добавлено: 07 дек 2009, 16:46
KsV
Doc, на взгляд неспециалиста в гинекологическом УЗИ -
Nabothian cyst
Здесь также подобное.
Но все же подождем экспертов

Re: Анэхогенное образование в перешейке матки
Добавлено: 07 дек 2009, 18:28
Doc
Спасибо.
Я тоже думал про наботовы желёзки, но меня смутил тот момент, что не явилось ли это образование следствием оперированной матки, лигатуры... ну чего-то там с ними... или что-то в этом духе????

Re: Анэхогенное образование в перешейке матки
Добавлено: 09 дек 2009, 12:11
Dr.Mario
Согласен, Наботова или эндо-цервикальная киста шейки. Ничего специфического.
Re: Анэхогенное образование в перешейке матки
Добавлено: 12 дек 2009, 15:04
Брехт
Naboti пишем, эндометриоз в уме
Re: Анэхогенное образование в перешейке матки
Добавлено: 13 дек 2009, 09:01
acustic
Коллеги, я на этих снимках ничего не вижу, одна чернота.
Re: Анэхогенное образование в перешейке матки
Добавлено: 18 июн 2010, 22:44
w.Thyme
Doc писал(а):Спасибо.
явилось ли это образование следствием оперированной матки, лигатуры... ну чего-то там с ними... или что-то в этом духе????

запросто. об эндометриозе надо думать, когда ov.nabotae несколько. и к тому же присутствуют гиперэхогенные линейные включения
Re: Анэхогенное образование в перешейке матки
Добавлено: 19 июн 2010, 16:36
besliu
Полностью согласна с последним постом
