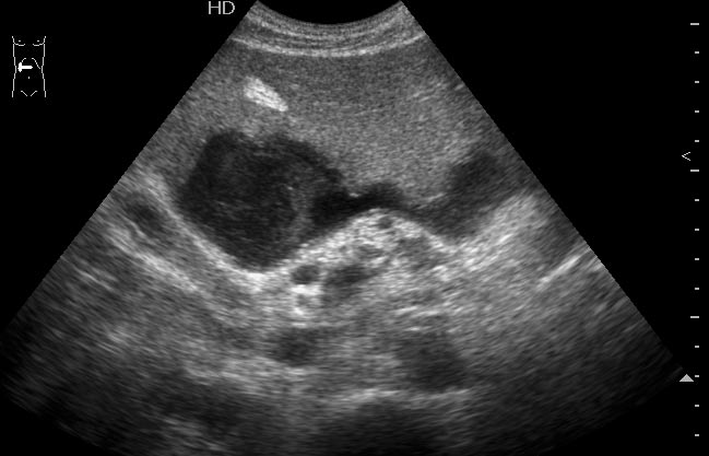
Мужчина средних лет, поступил в хирургическое отделение с диагнозом хронический панкреатит, обострение.
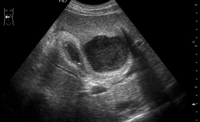
При УЗИ обследовании выявлена такая штука (см ниже). Несколько последних дней температура 39 С
Ваше заключение? Дальнейшие действия?
УЗИ: Абсцесс печени
Re: УЗИ: очаговое изменение печени
Печень?, абсцесccc>>>>>дренаж
- KsV
- Администратор
- Сообщения: 2189
- Зарегистрирован: 22 фев 2009, 13:38
- Откуда: Беларусь-Lietuva
- Контактная информация:
Re: УЗИ: очаговое изменение печени
Да.Брехт писал(а):Печень?, абсцесccc>>>>>дренаж
Re: УЗИ: очаговое изменение печени
Откуда взялся,не из соседнего ли ж.пузыря,который почти спавшийся и с очень толстыми и расслоенными стенками 

- KsV
- Администратор
- Сообщения: 2189
- Зарегистрирован: 22 фев 2009, 13:38
- Откуда: Беларусь-Lietuva
- Контактная информация:
Re: УЗИ: очаговое изменение печени
Нет, пузырь здесь непричем - он практически не измнён.besliu писал(а):Откуда взялся,не из соседнего ли ж.пузыря,который почти спавшийся и с очень толстыми и расслоенными стенками
Хронический панкреатит.
В архив.
Кто сейчас на конференции
Сейчас этот форум просматривают: нет зарегистрированных пользователей и 0 гостей