Шистосомоз?

Печень, желчный пузырь, поджелудочная железа, селезенка. Кишечник.
Изображения для консультации
Ответить
w.Thyme
Сообщения: 143
Зарегистрирован: 24 апр 2010, 17:46

Шистосомоз?

Сообщение w.Thyme »

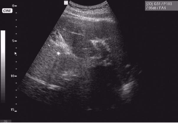
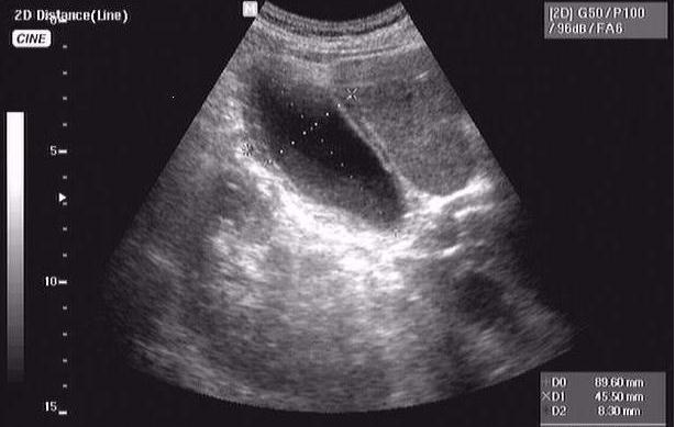
76 летний пациент - конкремент желчного протока, печень правая - 178 мм, левая - 62 мм
сахарного диабета нет, зато есть уртикарная сыпь... шистосомоз?
Вложения
Онищук76 33.JPG
Онищук76 44.JPG
Онищук76 11.JPG
Последний раз редактировалось w.Thyme 02 май 2010, 20:46, всего редактировалось 1 раз.
Аватара пользователя
KsV
Администратор
Сообщения: 2191
Зарегистрирован: 22 фев 2009, 13:38
Откуда: Беларусь-Lietuva
Контактная информация:

Re: Шистосомоз?

Сообщение KsV »

w.Thyme, выделил отдельной темой, если не возражаете.
К сожалению, хотя может быть и к счастью, патология для нас редкая, с интересом буду следить за обсуждением.
besliu
Сообщения: 142
Зарегистрирован: 11 окт 2009, 08:31
Контактная информация:

Re: Шистосомоз?

Сообщение besliu »

Зуд может быть и из-за застоя желчи.Насчет "крапивницы"-может серологическая проба исключит,или подтвердит шистосомоз.(хотя там анамнез такой,чо через 1-2 месяца заражения появляется ЛИХОРАДКА,да и высыпния идут "волнами" и исчезают через несколко дней)А сыпь идет крупными пятнами или мелкая ?
w.Thyme
Сообщения: 143
Зарегистрирован: 24 апр 2010, 17:46

Re: Шистосомоз?

Сообщение w.Thyme »

Вау… сколько вопросов сразу
зуда нет,
Насчет "крапивницы"….
уртикарная сыпь – это возвышающиеся над поверхностью кожи отечные элементы (волдыри) – т.н. токсидермии , имеют место быть при скарлатине , краснухе, коре… или крапивнице – (иногда банан – это просто банан)
лихорадки нет. Зуда нет.
До выхода на пенсию – «плавал»
Сыпь – мелкая.
besliu
Сообщения: 142
Зарегистрирован: 11 окт 2009, 08:31
Контактная информация:

Re: Шистосомоз?

Сообщение besliu »

:D Остается зделать серологический анализ и исключить или подтвердить патологию,а мы с нетерпением будем ждать результат.Спасибо.
Ответить

Вернуться в «Абдоминальные исследования»

Кто сейчас на конференции

Сейчас этот форум просматривают: нет зарегистрированных пользователей и 1 гость