Что со стенкой желчного?

Печень, желчный пузырь, поджелудочная железа, селезенка. Кишечник.
Изображения для консультации
Ответить
w.Thyme
Сообщения: 143
Зарегистрирован: 24 апр 2010, 17:46

Что со стенкой желчного?

Сообщение w.Thyme »

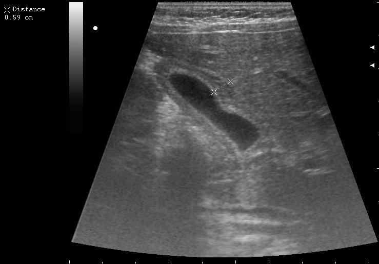
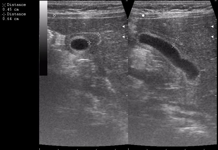
8-ми месячная девочка
Вложения
желч.JPG
желч1.JPG
besliu
Сообщения: 142
Зарегистрирован: 11 окт 2009, 08:31
Контактная информация:

Re: что со стенкой желчного?

Сообщение besliu »

По моему имеется утолщение стенки ж.пузыря по переднему контуру с частичным прерыванием наружного слоя(что-то врастает в стенку?Рядом печень имеет измененую структуру в виде некоторой неоднородности?)Надо исключить опухоль методом КТ
Аватара пользователя
KsV
Администратор
Сообщения: 2191
Зарегистрирован: 22 фев 2009, 13:38
Откуда: Беларусь-Lietuva
Контактная информация:

Re: Что со стенкой желчного?

Сообщение KsV »

Имхо отек стенки. Наиболее частая причина - гепатит, также встречалось такое при психогенной анорексии (безбелковый отек).
Ответить

Вернуться в «Абдоминальные исследования»

Кто сейчас на конференции

Сейчас этот форум просматривают: нет зарегистрированных пользователей и 1 гость