Холодный абсцесс в подключичной области справа

То, что не вошло в предыдущие разделы.
Только верифицированые изображения
Ответить
w.Thyme
Сообщения: 143
Зарегистрирован: 24 апр 2010, 17:46

Холодный абсцесс в подключичной области справа

Сообщение w.Thyme »

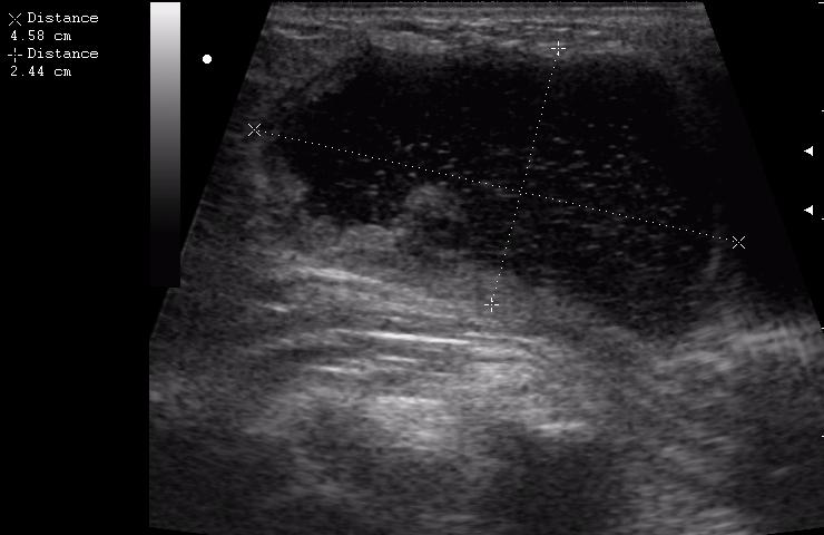
В клинику обратилась мать 11-летней девочки с жалобами на появление припухлости в подключичной области справа. Впервые заметили в феврале. За 4 месяца не интенсивный рост образования, с переходом на переднюю поверхность плеча, где кожа над ним на ограниченном участке (1.5-2см) имеет багрово-синюшную окраску.
Из анамнеза - ДТП осенью прошлого года.
(с д-зом Гематома(?) направлена на УЗИ)
достоверной связи с мышцами не увидела. Но на задней проекции включения определяется солидное образование. это может быть лимфоузел?
Вложения
30853.JPG
30855.JPG
30856.JPG
30857.JPG
Аватара пользователя
KsV
Администратор
Сообщения: 2191
Зарегистрирован: 22 фев 2009, 13:38
Откуда: Беларусь-Lietuva
Контактная информация:

Re: образование в подключичной области справа

Сообщение KsV »

Пункция+санация тонкой иглой, АБ-терапия если гной.
М.б. гнойный лимфоаденит.
w.Thyme
Сообщения: 143
Зарегистрирован: 24 апр 2010, 17:46

Re: образование в подключичной области справа

Сообщение w.Thyme »

образование достаточно обширное. боли нет, температуры нет. после УЗИ хирурги отправили на КТ. ответ будет только в пятницу :? что-то я часто стала слышать слово "тонкоигольная биопсия"... к чему бы это?
w.Thyme
Сообщения: 143
Зарегистрирован: 24 апр 2010, 17:46

Re: образование в подключичной области справа

Сообщение w.Thyme »

холодный абсцесс
Ответить

Вернуться в «Разное»

Кто сейчас на конференции

Сейчас этот форум просматривают: нет зарегистрированных пользователей и 0 гостей