Про уретероцеле, цистит и белорусское болото...
Модератор: KsV
Про уретероцеле, цистит и белорусское болото...
вариант течения о.цистита
Re: Уретероцеле
а это специальный цистит без типичных узи-признаков, за исключением одного - взвесь. толщина стенки мочевого указана неспроста. а клиника и лаборатория - по полной программе.
(если что-то лает, как собака и машет хвостом, как собака - значит это собака)
(если что-то лает, как собака и машет хвостом, как собака - значит это собака)
- KsV
- Администратор
- Сообщения: 2191
- Зарегистрирован: 22 фев 2009, 13:38
- Откуда: Беларусь-Lietuva
- Контактная информация:
Re: Уретероцеле
Нет-нет-нет.w.Thyme писал(а):а это специальный цистит без типичных узи-признаков, за исключением одного - взвесь. толщина стенки мочевого указана неспроста. а клиника и лаборатория - по полной программе.
(если что-то лает, как собака и машет хвостом, как собака - значит это собака)
У моего коллеги был кот, который когда его за дело лупили, он тоже почти лаял как собака.
Богу богово, кесарю - кесарево (я про анализы и клинические данные). На сонограммах неубедительно продемонстрирован осадок да и стенки м.п. не утолщены.
Re: Уретероцеле
что ж, значит это демонстрация еще одного "суслика" (к/ф "Солдаты")
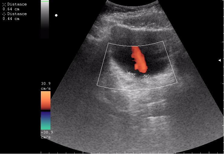
пы.сы. я ее смотрела на 7й или 8й день заболевания, до этого несколько узи в городской больнице. цистоскопия - отечные устья, локально вокруг устьев - изменения слизистой. вели как цистит. жалобы ушли на 3й день.
пы.сы. я ее смотрела на 7й или 8й день заболевания, до этого несколько узи в городской больнице. цистоскопия - отечные устья, локально вокруг устьев - изменения слизистой. вели как цистит. жалобы ушли на 3й день.
Re: Уретероцеле
почти - это не как.KapustinSV писал(а): он тоже почти лаял как собака.
зато какое наполнение! а осадок убедительный! а же не 7-кой смотрела!На сонограммах неубедительно продемонстрирован осадок да и стенки м.п. не утолщены.
- KsV
- Администратор
- Сообщения: 2191
- Зарегистрирован: 22 фев 2009, 13:38
- Откуда: Беларусь-Lietuva
- Контактная информация:
Re: Уретероцеле
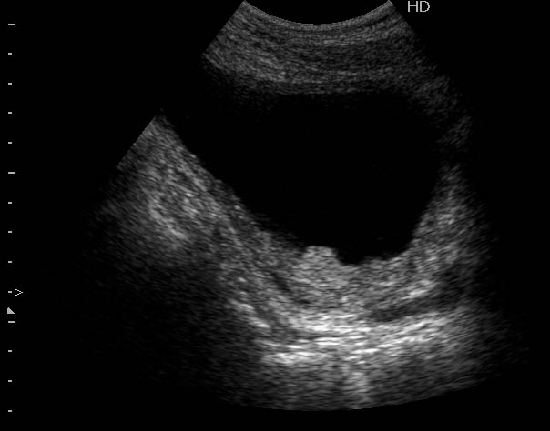
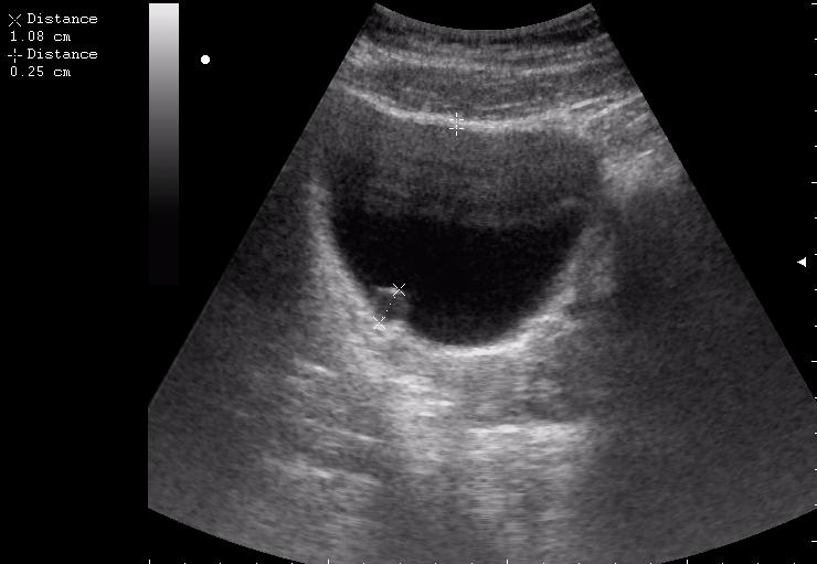
Сравните
Продольное сканирование мочевого пузыря После легкой перкуссии мочевого пузыря
Продольное сканирование мочевого пузыря После легкой перкуссии мочевого пузыря
Re: Уретероцеле
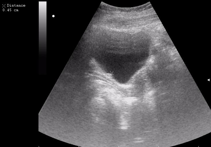
ну... и сравнивать нечего, обычно так выглядят болота в Белоруссии, или первые 2 дня о.цистита
- KsV
- Администратор
- Сообщения: 2191
- Зарегистрирован: 22 фев 2009, 13:38
- Откуда: Беларусь-Lietuva
- Контактная информация:
Re: Уретероцеле
Для тех кто не знает, белорусское болото выглядит так
И сравнивать, действительно нечего.
И сравнивать, действительно нечего.
Re: Про уретероцеле, цистит и белорусское болото...
супер!!! это же полный релакс !!!
уже хочу в Белоруссию!
Кто сейчас на конференции
Сейчас этот форум просматривают: нет зарегистрированных пользователей и 1 гость