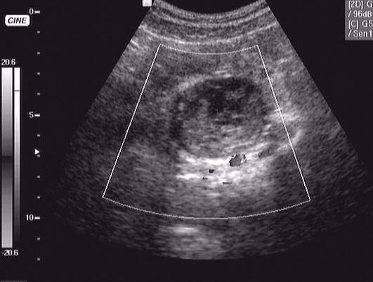
кровоизлияние в кисту яичника

Матка и придатки. Молочные железы.
Только верифицированые изображения
Ответить
w.Thyme
Сообщения: 143
Зарегистрирован: 24 апр 2010, 17:46

кровоизлияние в кисту яичника

Сообщение w.Thyme »

девушка 16 лет, дисменоррея. поступила в хирургию вчера вечером д-з о. аппендицит.
Вложения
1.JPG
2.JPG
3.JPG
Ответить

Вернуться в «Гинекологические исследования»

Кто сейчас на конференции

Сейчас этот форум просматривают: нет зарегистрированных пользователей и 0 гостей