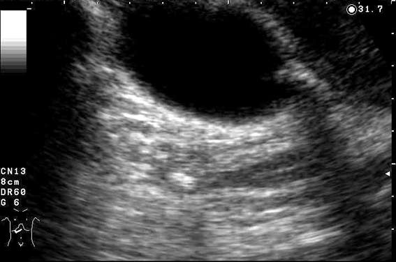
УЗИ: холедохолитиаз, низкое впадение d.cysticus

Печень, желчный пузырь, поджелудочная железа, селезенка. Кишечник.
Только верифицированые изображения
Ответить
Аватара пользователя
Dr Alex
Сообщения: 19
Зарегистрирован: 31 окт 2010, 11:02
Контактная информация:

УЗИ: холедохолитиаз, низкое впадение d.cysticus

Сообщение Dr Alex »

Пациент с невыраженной желтухой и приступом накануне.
Ваше заключение?
2.jpg
Tags: cholelythiasis, ultrasonography, sonography
Алекс-Юстасу.
Аватара пользователя
KsV
Администратор
Сообщения: 2191
Зарегистрирован: 22 фев 2009, 13:38
Откуда: Беларусь-Lietuva
Контактная информация:

Re: УЗИ ОБП

Сообщение KsV »

Инга писал(а):Холедохолитиаз
Я бы еще добавил низкое впадение цистикуса.
Аватара пользователя
Dr Alex
Сообщения: 19
Зарегистрирован: 31 окт 2010, 11:02
Контактная информация:

Re: УЗИ ОБП

Сообщение Dr Alex »

Холедохолитиаз.
Про уровень слияния протоков не скажу.
Алекс-Юстасу.
Ответить

Вернуться в «Абдоминальные исследования»

Кто сейчас на конференции

Сейчас этот форум просматривают: нет зарегистрированных пользователей и 5 гостей