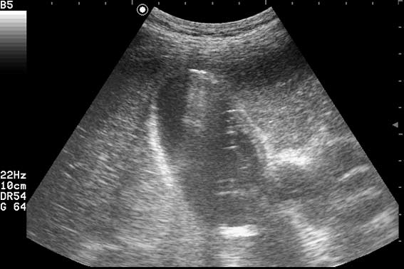
УЗИ Острый эмфизематозный холецистит. Эмпиема.
УЗИ Острый эмфизематозный холецистит. Эмпиема.
Пациент поступил в хирургическое отделение с жалобами на боли в правом подреберье и эпигастрии, повышение температуры. Болен 4 дня.
Алекс-Юстасу.
Re: УЗИ желчного
Острый эмфизематозный холецистит. Эмпиема ЖП. Паравезикул. абсцесс??? 
Re: УЗИ желчного
Да, я стараюсь внимательно следить за постами на сайте, это уже где то было 
Кто сейчас на конференции
Сейчас этот форум просматривают: нет зарегистрированных пользователей и 5 гостей