Пожилой мужчина, с высокой температурой и болями в правом подреберье. Болен более недели.
Острый холецистит, подпеченочный абсцесс
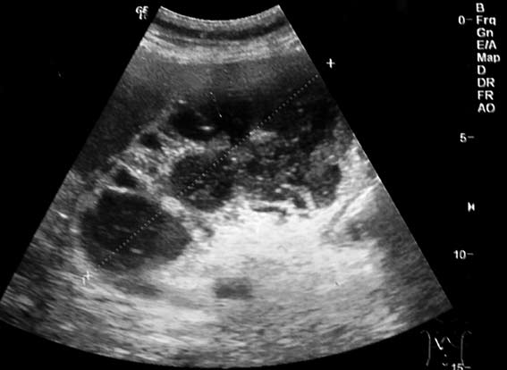
Re: Желчный пузырь, УЗИ
ЖП увеличен в размерах, стенка утолщена и на всем протяжении не прослеживается, содержимое неоднородное, но конкрементов я не вижу... Эмпиема ЖП - возможно, острый гангренозный холецистит (нельзя исключить на фоне карциномы ЖП) На снимке вокруг ЖП определяется гипоэхогенное образование без четких границ- перфорированный ЖП (гнойный перихолецистит ???)

- KsV
- Администратор
- Сообщения: 2191
- Зарегистрирован: 22 фев 2009, 13:38
- Откуда: Беларусь-Lietuva
- Контактная информация:
Re: Желчный пузырь, УЗИ
В действительности на сонограмме подпеченочный абсцесс вследствие гангренозного воспаления желчного пузыря. Сам пузырь плохо дифференцируется в этом конгломерате.
Re: Желчный пузырь, УЗИ
Но "ход мысли" в верном направлении .. 
- KsV
- Администратор
- Сообщения: 2191
- Зарегистрирован: 22 фев 2009, 13:38
- Откуда: Беларусь-Lietuva
- Контактная информация:
Re: Желчный пузырь, УЗИ
Безусловно.Инга писал(а):Но "ход мысли" в верном направлении ..
Кто сейчас на конференции
Сейчас этот форум просматривают: нет зарегистрированных пользователей и 5 гостей