УЗИ холедоха: pus, а не опухоль

Печень, желчный пузырь, поджелудочная железа, селезенка. Кишечник.
Только верифицированые изображения
Ответить
Аватара пользователя
KsV
Администратор
Сообщения: 2191
Зарегистрирован: 22 фев 2009, 13:38
Откуда: Беларусь-Lietuva
Контактная информация:

УЗИ холедоха: pus, а не опухоль

Сообщение KsV »

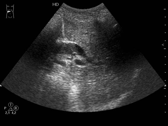
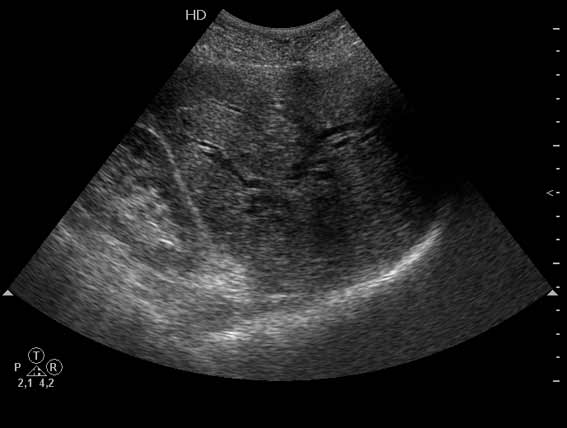
Очень пожилая женщина, обратилась в стационар из-за появления желтухи. Периодически беспокоили боли в эпигастрии и правом подреберье.
Желчный пузырь удален по поводу ЖКБ лет двадцать назад.
Вложения
1.jpg
2.jpg
3.jpg
Аватара пользователя
Dr.Mario
Эксперт
Сообщения: 160
Зарегистрирован: 17 мар 2009, 07:36
Контактная информация:

Re: Женщина с желтухой

Сообщение Dr.Mario »

Не могу сказать что я вижу камень в холедохе на представленных сонограммах. Холедох расширен; интра-печёночные жёлчные пути тоже (значит прошло > 3 недель от момента обструкции). Жалоб на сильные приступообразные боли я не прочёл. Всё таки буду думать сначала о опухоли (если при УЗИ не нашли камня); рекомендация-таргетное КТ печени и поджелудочной.
Let me see...
www.radiographia.ru
А.М.Шифрин
Сообщения: 60
Зарегистрирован: 12 апр 2009, 18:41
Контактная информация:

Re: Женщина с желтухой

Сообщение А.М.Шифрин »

Dr.Mario писал(а):Не могу сказать что я вижу камень в холедохе... Холедох расширен; интра-печёночные жёлчные пути тоже Всё таки буду думать сначала о опухоли (если при УЗИ не нашли камня); рекомендация-таргетное КТ печени и поджелудочной.
Конкремента, действительно, не видно. Вероятно, препятствие где-то в устье холедоха (кстати, что там с вирсунговым протоком). Может быть, начать с ФГДС с оценкой состояния БДС (при необходимости - ретроградная холедохография).
Аватара пользователя
KsV
Администратор
Сообщения: 2191
Зарегистрирован: 22 фев 2009, 13:38
Откуда: Беларусь-Lietuva
Контактная информация:

Re: Женщина с желтухой

Сообщение KsV »

Дело в том, что в холедохе имеется нечто изоэхогенное (не знаю, видно ли это нечто на ваших мониторах). Врач УЗИ при осмотре перед поступлением в стационар на основании этой картины в заключении отметил возможность опухоли холедоха.
А.М.Шифрин
Сообщения: 60
Зарегистрирован: 12 апр 2009, 18:41
Контактная информация:

Re: Женщина с желтухой

Сообщение А.М.Шифрин »

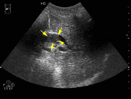
К сожаления, практически не видно. Если Вас не затруднит, пометьте стрелкой зону интереса.
Аватара пользователя
KsV
Администратор
Сообщения: 2191
Зарегистрирован: 22 фев 2009, 13:38
Откуда: Беларусь-Lietuva
Контактная информация:

Re: Женщина с желтухой

Сообщение KsV »

А.М.Шифрин писал(а):К сожаления, практически не видно. Если Вас не затруднит, пометьте стрелкой зону интереса.
marked.jpg
А.М.Шифрин
Сообщения: 60
Зарегистрирован: 12 апр 2009, 18:41
Контактная информация:

Re: Женщина с желтухой

Сообщение А.М.Шифрин »

Спасибо. Но даже по наводке визуализация очень нечеткая. Наверное, такие фото с очень "нежными" включаниями должны идти с максимальным качеством (а еще лучше видеоролик).
Аватара пользователя
KsV
Администратор
Сообщения: 2191
Зарегистрирован: 22 фев 2009, 13:38
Откуда: Беларусь-Lietuva
Контактная информация:

Re: Женщина с желтухой

Сообщение KsV »

Гнойный холангит на фоне обструкции БДС конкрементом (камень вне скана). В холедохе определяется желчь с осадком, которая может быть ошибочно принята за его опухоль.
Ответить

Вернуться в «Абдоминальные исследования»

Кто сейчас на конференции

Сейчас этот форум просматривают: нет зарегистрированных пользователей и 0 гостей