УЗИ, левая почка

Почки, мочеточники, мочевой пузырь, уретра. Простата и яички.

Модератор: KsV

Аватара пользователя
KsV
Администратор
Сообщения: 2191
Зарегистрирован: 22 фев 2009, 13:38
Откуда: Беларусь-Lietuva
Контактная информация:

УЗИ, левая почка

Сообщение KsV »

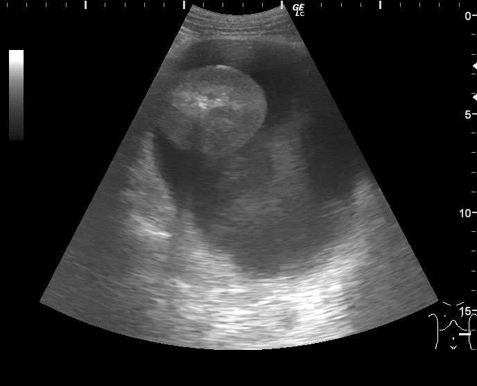
Мужчина средних лет, боли в животе, больше слева. При УЗИ панкреас изменения, характерные для острого панкреатита.

Левая почка:
Image017.jpg
Image024.jpg
Image019.avi
(467.68 КБ) 124 скачивания


Что это может быть?
Брехт
Сообщения: 99
Зарегистрирован: 16 июн 2009, 08:13
Контактная информация:

Re: УЗИ, левая почка

Сообщение Брехт »

МКБ. Пионефрос с перипроцессом
Аватара пользователя
KsV
Администратор
Сообщения: 2191
Зарегистрирован: 22 фев 2009, 13:38
Откуда: Беларусь-Lietuva
Контактная информация:

Re: УЗИ, левая почка

Сообщение KsV »

Брехт писал(а):МКБ. Пионефрос с перипроцессом
Увы, нет.
marusja
Сообщения: 3
Зарегистрирован: 13 янв 2011, 19:22
Контактная информация:

Re: УЗИ, левая почка

Сообщение marusja »

Панкреонекроз хвоста поджеледочной железы с расплавлением паранефральной клетчатки слева, гнойный паранефрит, возможно, с аррозивным кровотечением.
Аватара пользователя
KsV
Администратор
Сообщения: 2191
Зарегистрирован: 22 фев 2009, 13:38
Откуда: Беларусь-Lietuva
Контактная информация:

Re: УЗИ, левая почка

Сообщение KsV »

В тот же день это скопление жидкости было задренировано. Получили прозрачную жидкость желтоватого цвета с высоченным уровнем альфа-амилазы (25000).


!!!
Брехт
Сообщения: 99
Зарегистрирован: 16 июн 2009, 08:13
Контактная информация:

Re: УЗИ, левая почка

Сообщение Брехт »

!!![/quote]
KapustinSV писал(а): При УЗИ панкреас изменения, характерные для острого панкреатита.
Что это может быть?
KapustinSV писал(а):В тот же день это скопление жидкости было задренировано. Получили прозрачную жидкость желтоватого цвета с высоченным уровнем альфа-амилазы (25000).
Эх, Сергей Васильевич, не писать Вам детективы
Аватара пользователя
KsV
Администратор
Сообщения: 2191
Зарегистрирован: 22 фев 2009, 13:38
Откуда: Беларусь-Lietuva
Контактная информация:

Re: УЗИ, левая почка

Сообщение KsV »

:)
Аватара пользователя
KsV
Администратор
Сообщения: 2191
Зарегистрирован: 22 фев 2009, 13:38
Откуда: Беларусь-Lietuva
Контактная информация:

Re: УЗИ, левая почка

Сообщение KsV »

Брехт, ждемс от Вaс ответа.
Брехт
Сообщения: 99
Зарегистрирован: 16 июн 2009, 08:13
Контактная информация:

Re: УЗИ, левая почка

Сообщение Брехт »

KapustinSV писал(а):Брехт, ждемс от Вaс ответа.
:?: Разве ещё нет правильного...Тогда травма
Аватара пользователя
KsV
Администратор
Сообщения: 2191
Зарегистрирован: 22 фев 2009, 13:38
Откуда: Беларусь-Lietuva
Контактная информация:

Re: УЗИ, левая почка

Сообщение KsV »

Брехт писал(а):
KapustinSV писал(а):Брехт, ждемс от Вaс ответа.
:?: Разве ещё нет правильного...Тогда травма
Ну вот, здрасте - приехали.
Что напишем в заключении?
Ответить

Вернуться в «Уронефрологические исследования»

Кто сейчас на конференции

Сейчас этот форум просматривают: нет зарегистрированных пользователей и 6 гостей