УЗИ, мочевой пузырь
Модератор: KsV
- KsV
- Администратор
- Сообщения: 2189
- Зарегистрирован: 22 фев 2009, 13:38
- Откуда: Беларусь-Lietuva
- Контактная информация:
УЗИ, мочевой пузырь
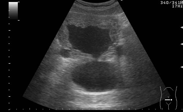
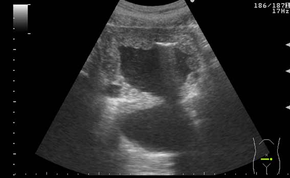
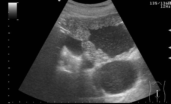
УЗИ мочевого пузыря у пожилого мужчины выявлены следующие изменения.
Как бы вы их расценили?
Как бы вы их расценили?
Re: УЗИ, мочевой пузырь
Signs of chronic urinary retention; evident thickening of the urinary bladder mucosa; large diverticulas. Residual volume evlaluation required; full prostatic assessment is recommended.
- KsV
- Администратор
- Сообщения: 2189
- Зарегистрирован: 22 фев 2009, 13:38
- Откуда: Беларусь-Lietuva
- Контактная информация:
Re: УЗИ, мочевой пузырь
Excellent!Dr.Mario писал(а):Signs of chronic urinary retention; evident thickening of the urinary bladder mucosa; large diverticulas. Residual volume evlaluation required; full prostatic assessment is recommended.
How many diverticulas do you see?
Re: УЗИ, мочевой пузырь
I agree with previous post (Dr. Uzgraph); but there may be much more of them.
Off Topic: it is cool to write in English, Uoops!
Off Topic: it is cool to write in English, Uoops!
- KsV
- Администратор
- Сообщения: 2189
- Зарегистрирован: 22 фев 2009, 13:38
- Откуда: Беларусь-Lietuva
- Контактная информация:
Re: УЗИ, мочевой пузырь
But really there are two ones on these pictures.Dr.Mario писал(а):I agree with previous post (Dr. Uzgraph); but there may be much more of them.
Re: УЗИ, мочевой пузырь
неравномерное утолщение стенок мочевого пузыря,признаки застоя в мочевом пузыре,расширенные дистальные отделы мочеточников,на первом снимке-дивертикул?слева,уввеличенная отечная простата
- KsV
- Администратор
- Сообщения: 2189
- Зарегистрирован: 22 фев 2009, 13:38
- Откуда: Беларусь-Lietuva
- Контактная информация:
Re: УЗИ, мочевой пузырь
Все верно, за исключением того что простаты на картинках нет. Здорово, что Вы заметили расширение мочеточников. Есть также воздух в МП после цистоскопии.besliu писал(а):неравномерное утолщение стенок мочевого пузыря,признаки застоя в мочевом пузыре,расширенные дистальные отделы мочеточников,на первом снимке-дивертикул?слева,уввеличенная отечная простата
В архив.
Re: УЗИ, мочевой пузырь
-
андрей копанько
- Сообщения: 8
- Зарегистрирован: 15 янв 2010, 16:52
- Контактная информация:
Re: УЗИ, мочевой пузырь
если не поздно с ответами то мое мнение, что это гыпертрофия слизистой мочевого пузыря с разширеными мочеточниками и одним дивертикулом как правило такие изменения на фоне большой аденомы и у меня был случай таких же изменений на фоне фимоза у взрослого музчины правда на фоне еще и умственной отсталости
Кто сейчас на конференции
Сейчас этот форум просматривают: нет зарегистрированных пользователей и 0 гостей