образование средостения? или ....

Изображения для консультации
Ответить
eremin
Сообщения: 2
Зарегистрирован: 20 дек 2010, 21:34
Контактная информация:

образование средостения? или ....

Сообщение eremin »

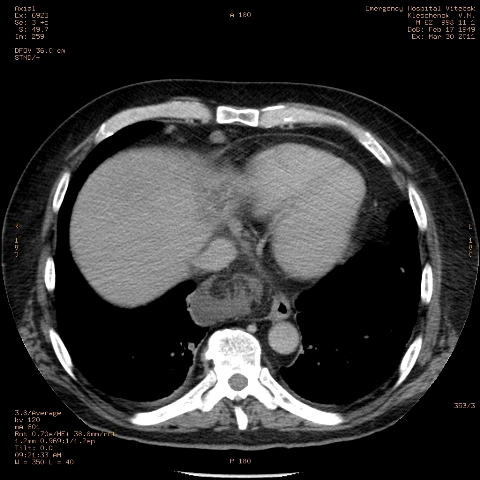
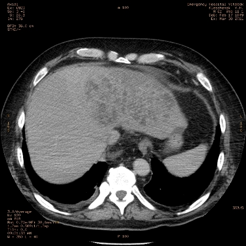
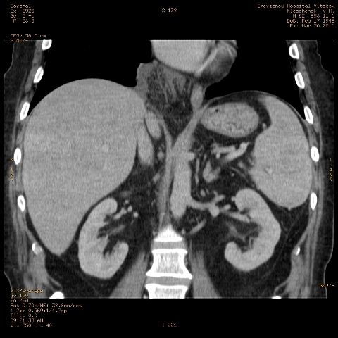
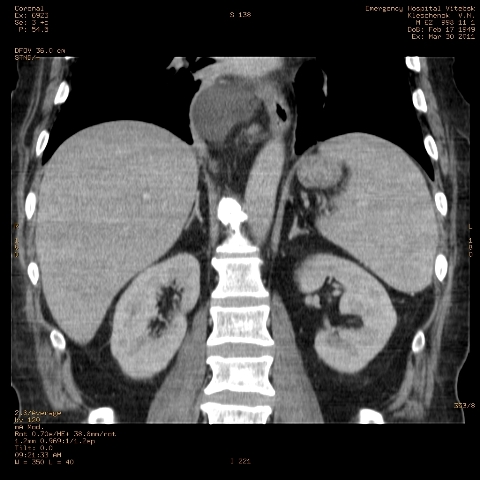
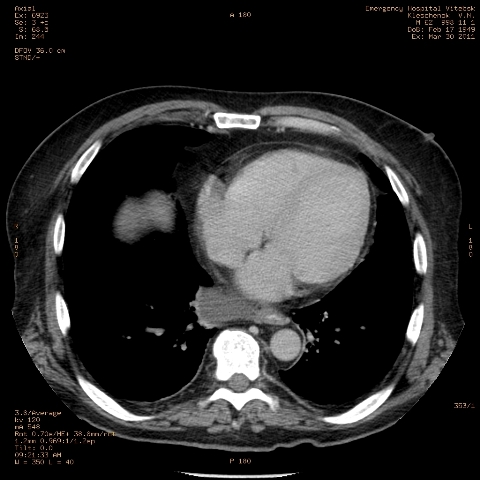
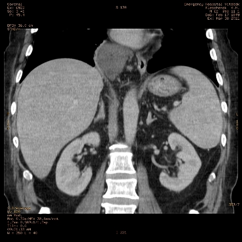
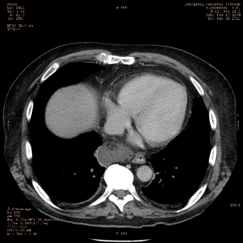
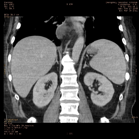
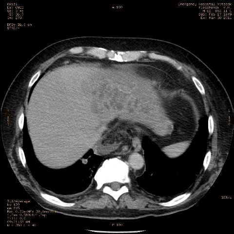
при исследовании органов брюшной полости по поводу абсцесса печени, в нижнем этаже средостения выявлено образование неоднородной плотности (-5-+25), при в/в контрастировании - не контрастируется, при per os - затёков из пищевода нет, неправильно овальной формы. предположительно киста перикарда? спасибо за помощь!
Вложения
101.jpg
102.jpg
103.jpg
104.jpg
105.jpg
106.jpg
107.jpg
108.jpg
109.jpg
светя других - сгораю сам
Аватара пользователя
KsV
Администратор
Сообщения: 2191
Зарегистрирован: 22 фев 2009, 13:38
Откуда: Беларусь-Lietuva
Контактная информация:

Re: образование средостения? или ....

Сообщение KsV »

Ответ Марио Таха


Может быть enteric duplication cyst. Как бы есть грыжа жира hiatal. И что с печенью? Мало срезов.
Ответить

Вернуться в «Легкие, грудная клетка»

Кто сейчас на конференции

Сейчас этот форум просматривают: нет зарегистрированных пользователей и 0 гостей