Некроз стенки желчного пузыря при тромбозе пузырной артерии

Печень, желчный пузырь, поджелудочная железа, селезенка. Кишечник.
Только верифицированые изображения
Закрыто
Аватара пользователя
KsV
Администратор
Сообщения: 2191
Зарегистрирован: 22 фев 2009, 13:38
Откуда: Беларусь-Lietuva
Контактная информация:

Некроз стенки желчного пузыря при тромбозе пузырной артерии

Сообщение KsV »

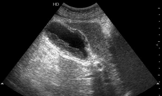
Пожилой мужчина, камни в желчном пузыре не обнаружены.
1.jpg
Наиболее частая причина некроза стенки ж.пузыря у пожилых людей без признаков ЖКБ - атеросклеротическое поражение и тромбоз пузырной артерии.

На сонограмме определяется очаг некроза передней стенки ж.пузыря - потеря характерной слоистости утолщенной стенки, характерной для флегмонозного воспаления, на некотором ее участке.

Tags: Necrosis of gallbladder wall, cystic artery thrombosis
Закрыто

Вернуться в «Абдоминальные исследования»

Кто сейчас на конференции

Сейчас этот форум просматривают: нет зарегистрированных пользователей и 0 гостей