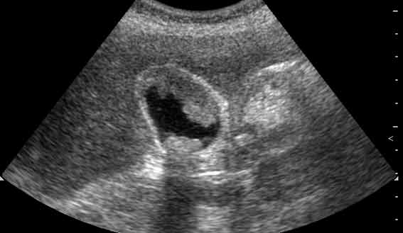
УЗИ: опухоль и конкременты желчного пузыря

Печень, желчный пузырь, поджелудочная железа, селезенка. Кишечник.
Только верифицированые изображения
Закрыто
Аватара пользователя
KsV
Администратор
Сообщения: 2191
Зарегистрирован: 22 фев 2009, 13:38
Откуда: Беларусь-Lietuva
Контактная информация:

УЗИ: опухоль и конкременты желчного пузыря

Сообщение KsV »

Опухоль передней стенки и конкременты желчного пузыря.
5.jpg
Tags: Tumor the anterior wall and of the gallbladder, stones.
Закрыто

Вернуться в «Абдоминальные исследования»

Кто сейчас на конференции

Сейчас этот форум просматривают: нет зарегистрированных пользователей и 1 гость