УЗИ: аденома панкреас

Печень, желчный пузырь, поджелудочная железа, селезенка. Кишечник.
Только верифицированые изображения
Ответить
Аватара пользователя
KsV
Администратор
Сообщения: 2191
Зарегистрирован: 22 фев 2009, 13:38
Откуда: Беларусь-Lietuva
Контактная информация:

УЗИ: аденома панкреас

Сообщение KsV »

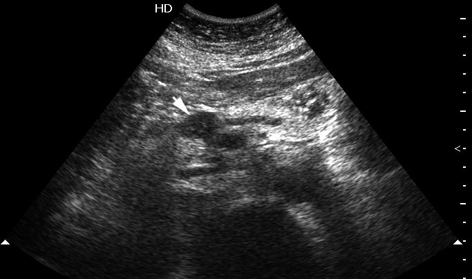
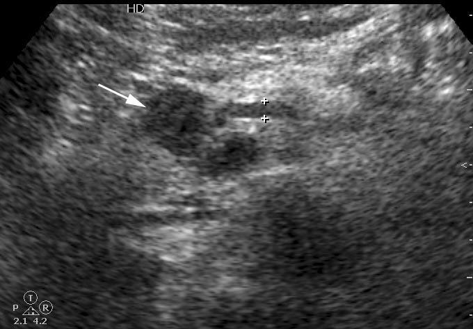
Женщина средних лет, боли в эпигастральной области. На УЗИ выявлено гипоэхогенное образование в области перешейка. Вирсунгов проток слегка расширен. При ЦДК в образовании определяется воспроизводимый кровоток.
Сонограмма панкреас, ее продольное сканирование.
Сонограмма панкреас, ее продольное сканирование.
11-05-31-112820_2.jpg
11-05-31-112820_3.jpg
Видео
11-05-31-112820_4460_.avi
(1.1 МБ) 67 скачиваний
КТ
Натив
Натив
0.jpg (41.71 КБ) 715 просмотров
Артериальная фаза
Артериальная фаза
1.jpg (41.55 КБ) 715 просмотров
портальная фаза
портальная фаза
port.jpg (38.34 КБ) 715 просмотров
Артериальная, реконструкция
Артериальная, реконструкция
2.jpg (30.3 КБ) 715 просмотров
Портальная, реконструкция
Портальная, реконструкция
5.jpg (30.79 КБ) 715 просмотров


Оперирована, интраоперационная цитология - злокачественных клеток не обнаружено; гистологический диагноз - тубулярная аденома.

tags: pancreatic adenoma, sonography, CT
Ответить

Вернуться в «Абдоминальные исследования»

Кто сейчас на конференции

Сейчас этот форум просматривают: нет зарегистрированных пользователей и 0 гостей