Страница 1 из 1

УЗИ: аденома панкреас

Добавлено: 04 июл 2011, 11:02
KsV
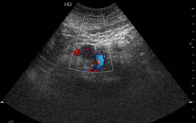
Женщина средних лет, боли в эпигастральной области. На УЗИ выявлено гипоэхогенное образование в области перешейка. Вирсунгов проток слегка расширен. При ЦДК в образовании определяется воспроизводимый кровоток.
Сонограмма панкреас, ее продольное сканирование.
Сонограмма панкреас, ее продольное сканирование.
11-05-31-112820_2.jpg
11-05-31-112820_3.jpg
Видео
11-05-31-112820_4460_.avi
(1.1 МБ) 66 скачиваний
КТ
Натив
Натив
0.jpg (41.71 КБ) 713 просмотров
Артериальная фаза
Артериальная фаза
1.jpg (41.55 КБ) 713 просмотров
портальная фаза
портальная фаза
port.jpg (38.34 КБ) 713 просмотров
Артериальная, реконструкция
Артериальная, реконструкция
2.jpg (30.3 КБ) 713 просмотров
Портальная, реконструкция
Портальная, реконструкция
5.jpg (30.79 КБ) 713 просмотров


Оперирована, интраоперационная цитология - злокачественных клеток не обнаружено; гистологический диагноз - тубулярная аденома.

tags: pancreatic adenoma, sonography, CT