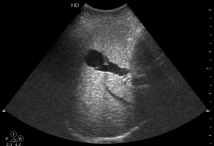
УЗИ: портосистемный внутрипеченочный шунт

Печень, желчный пузырь, поджелудочная железа, селезенка. Кишечник.
Только верифицированые изображения
Ответить
Аватара пользователя
KsV
Администратор
Сообщения: 2191
Зарегистрирован: 22 фев 2009, 13:38
Откуда: Беларусь-Lietuva
Контактная информация:

УЗИ: портосистемный внутрипеченочный шунт

Сообщение KsV »

Больная с с желтухой, направлена на УЗИ для уточнения ее причины. Никих операций до обращения в стационар не было.
11-06-20-122904_4920_201106.jpg
2.jpg
видео
11-06-20-122904_4920_20110620.avi
(1.78 МБ) 76 скачиваний
tags: intrahepatic portosystemic shunt, sonography
Ответить

Вернуться в «Абдоминальные исследования»

Кто сейчас на конференции

Сейчас этот форум просматривают: нет зарегистрированных пользователей и 0 гостей