Сосудистая мальформация правой почки
Модератор: KsV
- valeriy.andilevko
- Сообщения: 194
- Зарегистрирован: 01 мар 2011, 19:34
- Откуда: Витебск
- Контактная информация:
Сосудистая мальформация правой почки
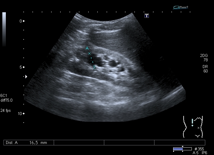
Юноша 17 лет , с 5 лет наблюдается по поводу хронического гломерулонефрита, 2 раза литотрипсия слева. При плановом УЗИ исследовании - диффузные изменения паренхимы почек, пиелоэктазия слева, небольшая киста в левой почке и группа полостных образований в синусе правой почки.
После первых Ваших откликов опубликую продолжение, хочу предупредить, что не всё так просто 
Последний раз редактировалось valeriy.andilevko 12 сен 2012, 09:13, всего редактировалось 1 раз.
- valeriy.andilevko
- Сообщения: 194
- Зарегистрирован: 01 мар 2011, 19:34
- Откуда: Витебск
- Контактная информация:
Re: Полостные образования в правой почке
Откликов пока нет, поэтому немного уменьшу интригу (или увеличу
) и добавлю скан через правую почечную вену
- KsV
- Администратор
- Сообщения: 2191
- Зарегистрирован: 22 фев 2009, 13:38
- Откуда: Беларусь-Lietuva
- Контактная информация:
Re: Полостные образования в правой почке
Хочется увидеть короткий видеоклип, т.к. представленные сканы могут трактоваться неоднозначно.
- valeriy.andilevko
- Сообщения: 194
- Зарегистрирован: 01 мар 2011, 19:34
- Откуда: Витебск
- Контактная информация:
Re: Полостные образования в правой почке
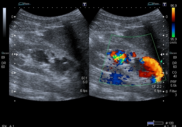
К сожалению так и не наладил архивацию видео в аппарате, взамен убиваю интригу (почти) и прикрепляю скан с ЦДК
- KsV
- Администратор
- Сообщения: 2191
- Зарегистрирован: 22 фев 2009, 13:38
- Откуда: Беларусь-Lietuva
- Контактная информация:
Re: Полостные образования в правой почке
Очень интересно.
Ну и что за причина такой венозной гипертензии правой почки? Я так понял что что-то в области впадения в НПВ?
Ну и что за причина такой венозной гипертензии правой почки? Я так понял что что-то в области впадения в НПВ?
- valeriy.andilevko
- Сообщения: 194
- Зарегистрирован: 01 мар 2011, 19:34
- Откуда: Витебск
- Контактная информация:
Re: Полостные образования в правой почке
Добавляю ещё сканы 
- KsV
- Администратор
- Сообщения: 2191
- Зарегистрирован: 22 фев 2009, 13:38
- Откуда: Беларусь-Lietuva
- Контактная информация:
Re: Полостные образования в правой почке
Что ж, редко и круто.
Нужно осмыслить и разобрать случай.
Все, в том числе и я, сдались, ждем заключение автора.
Нужно осмыслить и разобрать случай.
Все, в том числе и я, сдались, ждем заключение автора.
- valeriy.andilevko
- Сообщения: 194
- Зарегистрирован: 01 мар 2011, 19:34
- Откуда: Витебск
- Контактная информация:
Re: Полостные образования в правой почке
После всех этих находок я предположил наличие сосудистых мальформаций правой почки в виде артерио- венозных соустий. К сожалению на УЗИ не смог разобраться с происхождением крупного артериального сосуда, который был атипично расположен по передне -наружной поверхности правой почки
В связи с этим порекомендовал провести ренальную ангиографию, что и было выполнено
Протокол ДСА:брюшная аорта не расширена. Почечные артерии - слева без изменений. Справа - рядом с основной неизменённой почечной артерией - дополнительная артерия с просветом 6 мм, подходящая к нижнему полюсу почки, кровоснабжает клубок патологически изменённых сосудов с ускоренным кровотоком и сбросом в расширенную почечную вену и далее в НПВ. Заключение: артерио - венозная мальформация нижнего полюса правой почки.
При повторном осмотре после ДСА я поставил на область правой почки фонендоскоп - машинный систоло - диастолический шум как при Боталловом протоке над сердцем. Так что иногда аускультация почек м.б. полезной
При повторном осмотре после ДСА я поставил на область правой почки фонендоскоп - машинный систоло - диастолический шум как при Боталловом протоке над сердцем. Так что иногда аускультация почек м.б. полезной
- KsV
- Администратор
- Сообщения: 2191
- Зарегистрирован: 22 фев 2009, 13:38
- Откуда: Беларусь-Lietuva
- Контактная информация:
Re: Полостные образования в правой почке
Да, спасибо, редчайший случай, достойный описания.
Есть ли классическая сонограмма этой почки (продольная, чтобы почка была бобовидной формы)?
Есть ли классическая сонограмма этой почки (продольная, чтобы почка была бобовидной формы)?
- valeriy.andilevko
- Сообщения: 194
- Зарегистрирован: 01 мар 2011, 19:34
- Откуда: Витебск
- Контактная информация:
Re: Полостные образования в правой почке
Добавляю ещё два скана, возможно не совсем классических
Кто сейчас на конференции
Сейчас этот форум просматривают: нет зарегистрированных пользователей и 0 гостей