Толстый кишечник
Толстый кишечник
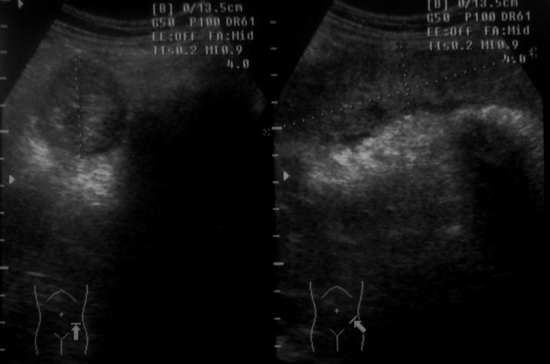
Женщина, 54г. поступила в приемный покой с жалобами на боли внизу живота, кровь при дефекации.
При исследовании в левой подвздошной области по ходу нисходящей ободочной кишки с переходом на сигму резкая болезненность и такая картина:
При исследовании в левой подвздошной области по ходу нисходящей ободочной кишки с переходом на сигму резкая болезненность и такая картина:
- valeriy.andilevko
- Сообщения: 194
- Зарегистрирован: 01 мар 2011, 19:34
- Откуда: Витебск
- Контактная информация:
Re: Толстый кишечник
Симптом поражённого полого органа с вовлечением нисходящей ободочной и сигмовидной кишки. ИМХО может быть Cr либо ЯНЭК. Показана колоноскопия. Сейчас интересный диалог на данную тему активен здесь:http://radiographia.ru/node/5973
Re: Толстый кишечник
Похоже на СППО, надо бы еще толщину стенки измерить...и что там на колоноскопии
, подтвердилось поражение или нет 
Re: Толстый кишечник
Колоноскопия сегодня, буду на работе узнаю результат...
Re: Толстый кишечник
Колоноскопия: .... инфильтрация стенок с нарушением просвета на 2/3. Стенки при контакте кровоточат. Закл: Сr н/3 нисходящего отдела ободочной кишки. Взята биопсия.
Ждем ответ биопсии.
Ждем ответ биопсии.
Re: Толстый кишечник
Re: Толстый кишечник
Ответ: Дистрофичные группы клеток призматического эпителия с признаками вырженной пролиферации и атипией в части клеток.
Переведите!?

Переведите!?
Re: Толстый кишечник
короче ..рак...наше подозрение на патологию кишечника подтверждено эндоскопически...что еще надо..мысленно себе апплодируем

Re: Толстый кишечник
Дело в том, что я тоже решила, что гистологически диагноз подтверждён, но проктологи говорят, что НЕТ ?! Поэтому прошу мне пояснить заключение гистологии... как его трактовать правильно? 
Кто сейчас на конференции
Сейчас этот форум просматривают: нет зарегистрированных пользователей и 1 гость