Рак желчного пузыря

Печень, желчный пузырь, поджелудочная железа, селезенка. Кишечник.
Только верифицированые изображения
Ответить
Аватара пользователя
KsV
Администратор
Сообщения: 2191
Зарегистрирован: 22 фев 2009, 13:38
Откуда: Беларусь-Lietuva
Контактная информация:

Рак желчного пузыря

Сообщение KsV »

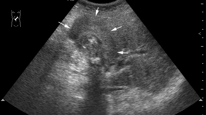
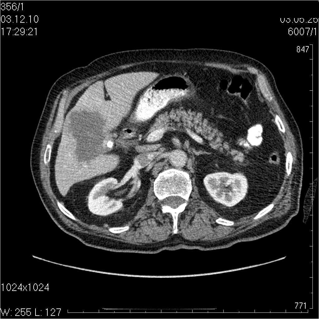
Пожилой мужчина с невыраженными болями в правом подреберье.

Сонограмма
10-12-06-114634_9819_201012.jpg
видео КТ
03.jpg
05.jpg
Диагностическая лапаротомия - Рак желчноо пузыря с прорастанием в паренхиму печени

tags: gallbladder, adenocarcinoma, cancer, ultrasonography, CT
Ответить

Вернуться в «Абдоминальные исследования»

Кто сейчас на конференции

Сейчас этот форум просматривают: нет зарегистрированных пользователей и 0 гостей