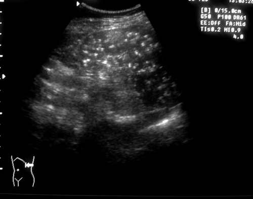
Кальцинаты селезенки "звездное небо"
Кальцинаты селезенки "звездное небо"
Какова природа таких изменений селезенки и дальнейшая тактика?
В движении выглядит потрясающе, на самом деле как звездное небо 
Re: Кальцинаты селезенки "звездное небо"
кальцинаты это последствие перенесенной инфекции...клинического значения не имеют..наблюдение 
Re: Кальцинаты селезенки "звездное небо"
Чаще всего они единичные, а в данном случае "нет живого места" 
- valeriy.andilevko
- Сообщения: 194
- Зарегистрирован: 01 мар 2011, 19:34
- Откуда: Витебск
- Контактная информация:
Re: Кальцинаты селезенки "звездное небо"
ИМХО такие кальцинаты возникают после перенесённых инфекционных заболеваний, сопровождающихся гистиоцитарной инфильтрацией селезёнки (иерсиниоз, псевдотуберкулёз и др.). Очаги в этом случае как - правило множественные, обычно они есть ещё и в печени. То что мы видим - это отдалённое последствие и лечения не требует. Картинка конечно - же впечатляет.
Небольшой оффтопик: по мнению общества на сколько правомочно употребление в протоколе образных выражений типа "звёздное небо", "снежная буря", "бычий глаз" и т. п. Не рискуем ли мы из врачей превратиться в сказочников
Небольшой оффтопик: по мнению общества на сколько правомочно употребление в протоколе образных выражений типа "звёздное небо", "снежная буря", "бычий глаз" и т. п. Не рискуем ли мы из врачей превратиться в сказочников
Кто сейчас на конференции
Сейчас этот форум просматривают: нет зарегистрированных пользователей и 0 гостей