Псевдокиста панкреас и поддиафрагмальный абсцесс

Печень, желчный пузырь, поджелудочная железа, селезенка. Кишечник.
Только верифицированые изображения
Ответить
Аватара пользователя
KsV
Администратор
Сообщения: 2191
Зарегистрирован: 22 фев 2009, 13:38
Откуда: Беларусь-Lietuva
Контактная информация:

Псевдокиста панкреас и поддиафрагмальный абсцесс

Сообщение KsV »

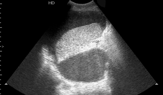
Мужчина средних лет, страдающий хроническим панкреатитом.
Температура 38-39 град, симптомы интоксикации, невыраженная боль в левом боку.

При УЗИ в области ворот селезенки/хвоста панкреас определяется жидкостное образование, переходящее в поддиафрагмальное пространство и заполненное акустически непрозрачной, мутной жидкостью.

Сонограмма селезенки. Продольное сканирование из левого бокового доступа.
Сонограмма селезенки. Продольное сканирование из левого бокового доступа.
Образование задренировано, получена гнойная жидкость с геморрагическим компонентом.

Завтра будет готов результат биохимии (амилаза) жидкости.
Ответить

Вернуться в «Абдоминальные исследования»

Кто сейчас на конференции

Сейчас этот форум просматривают: нет зарегистрированных пользователей и 0 гостей