Просто посмотрите!

Почки, мочеточники, мочевой пузырь, уретра. Простата и яички.

Модератор: KsV

Ответить
Аватара пользователя
dok69
Сообщения: 137
Зарегистрирован: 19 дек 2009, 19:32
Откуда: г.Бобруйск
Контактная информация:

Просто посмотрите!

Сообщение dok69 »

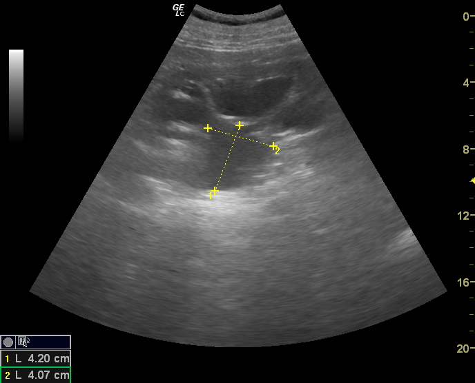
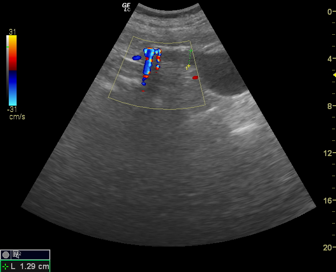
Вот такой случай МКБ с конкрементами в почке и мочеточнике и
роль артефакта мерцания в их уз-диагностике:
Видеоролик.....................................

phpBB [video]
Вложения
kamen_mochitichnika01.jpg
kamen_mochitichnika21.jpg
http://endosono.ru
*****************************************
Странный этот мир, в котором двое смотрят на одно и тоже, а видят разное.
Агата Кристи.
Ответить

Вернуться в «Уронефрологические исследования»

Кто сейчас на конференции

Сейчас этот форум просматривают: нет зарегистрированных пользователей и 0 гостей